Change Position of Osteotomy

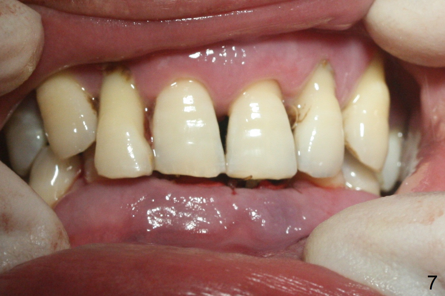
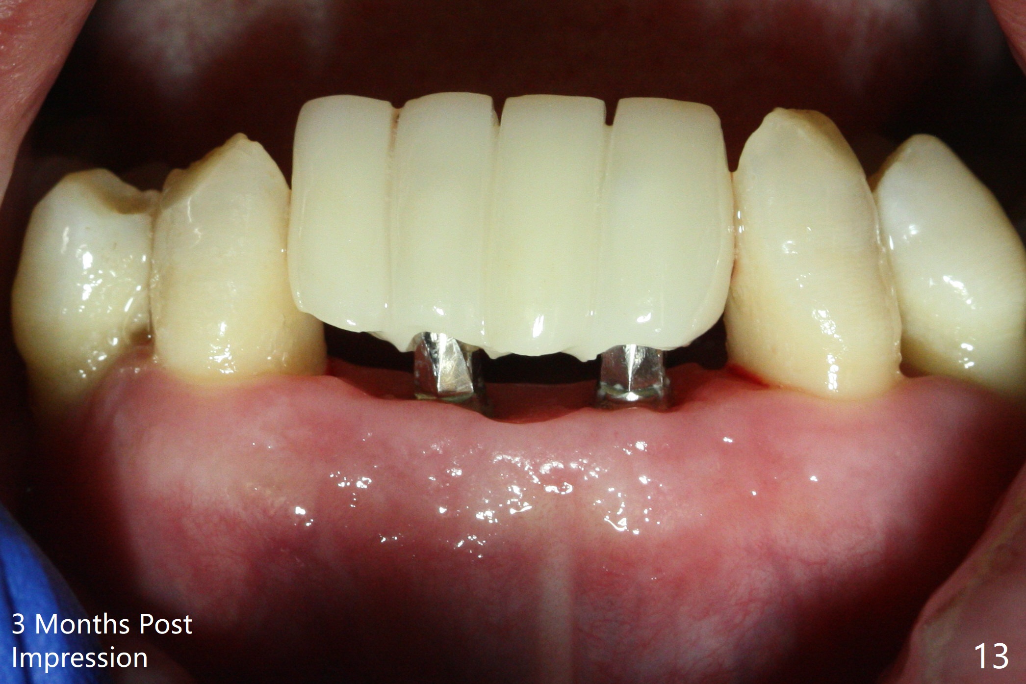
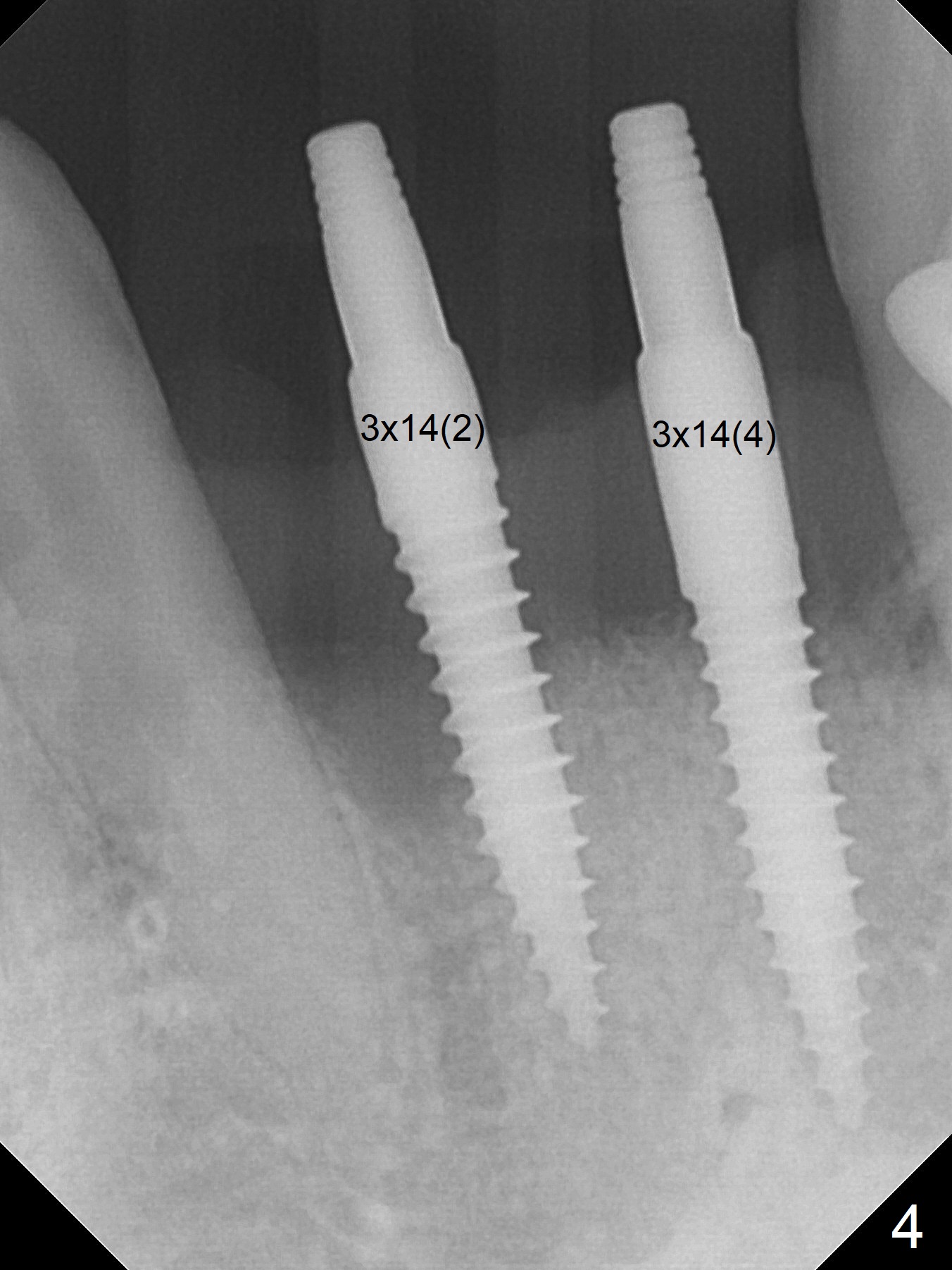
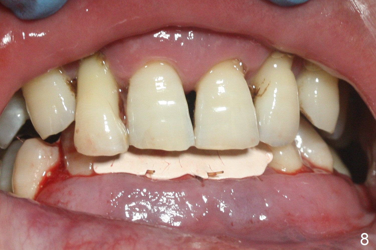
After extraction of 4 of the lower incisors, there are basically 2 sockets (#23/24 and 25/26), separated by the apparently midline bone (Fig.1 red line).  In spite of using Lindamann bur to move the 25/26 osteotomy mesially, a 3x14(2) mm dummy implant remains close to the tooth #27 (Fig.2).  The terminal branch of the Incisive Canal (<) is located between the lateral and central incisors.  A de novo osteotomy (Fig.3 (1.5 mm drill)) is made mesial to the original one (O).  While the 3x14(2) mm dummy implant is incompletely placed at #25/26, a 3x14(4) mm 1-piece one is placed at #23/24 (Fig.4).  Finally the same implant is placed at #25/26 with placement of mineralized cortical/cancellous bone (Fig.5 *).  When the large sockets are sutured, the supraerupted teeth #7-9 touch the lower gingiva (Fig.6).  The incisal edge is reduced for clearance (Fig.7).  Periodontal dressing is less likely to be dislodged with the incisal edge reduction (Fig.8,9).  A provisional FPD is fabricated 1 week postop.  Hard (Fig.10) and soft (Fig.11,12) tissues heal 5.5 months postop.  The patient returns for crown cementation 3 months post impression (9 months postop, Fig.13,14).

Return to Lower Incisor Immediate Implant, IBS, #3,5, 7, 19/20, Systemic Diseases

Xin Wei, DDS, PhD, MS 1st edition 08/22/2017, last revision 05/12/2018