![]() |
![]() |
|
![]() |
![]() |
![]() |
Why 2 Implants for 3 Lower Incisors?
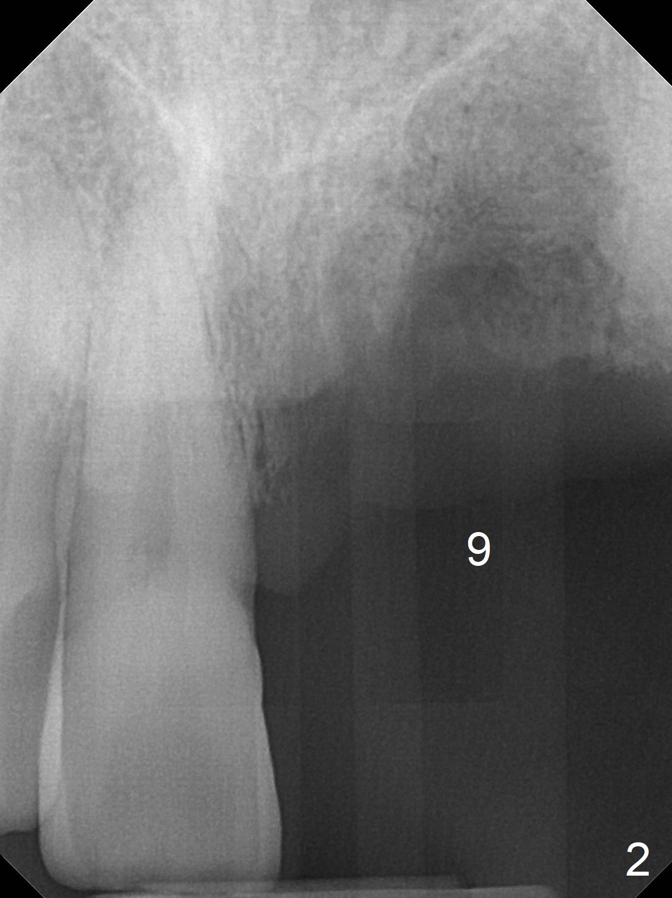
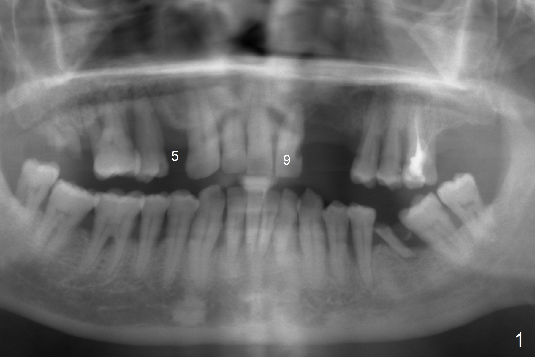
A 45-year-old man requests implant replacement for #5, 9 and 24-26 (Fig.1) after extraction of the tooth #9 (Fig.2). The teeth #24-26 have severe bone loss with mobility III (Fig.3). Since their roots are close to each other (Fig.4 (after extraction)), osteotomy will be initiated at #24 and 26 (Fig.5).
Return to
Lower
Incisor Immediate Implant, IBS,
No Antibiotic
Xin Wei, DDS, PhD, MS 1st edition 08/10/2017, last revision 01/19/2018