Two Implants for Four Lower Incisors

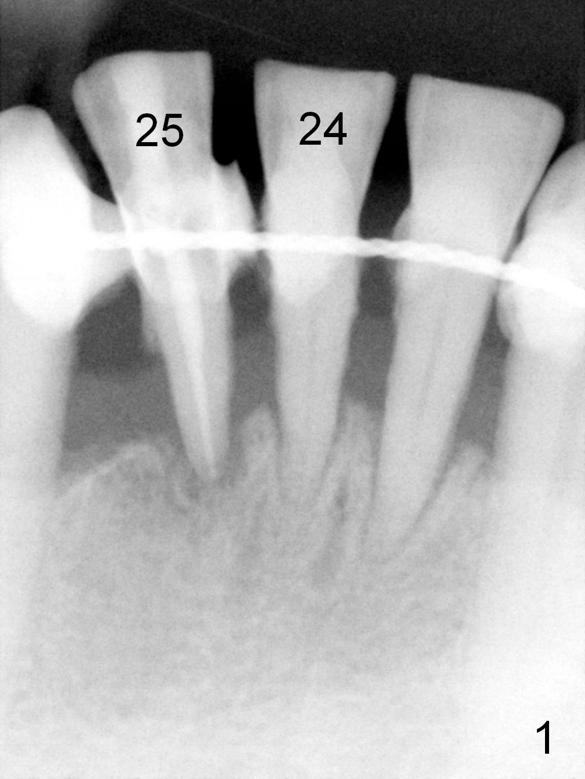
A 59-year-old man requests a partial denture after loss of #24 and 25, seven years after splintng (Fig.1,2).  The remaining incisor (tooth #23) has mobility II.  After discussion, he agrees with implant-supported FPD.  Two of 1-piece implants will be placed at #23 and 25 (Fig.2) to avoid too-close complication.  The first implant will be placed at #25.  The socket of #23 will be treated with Clindamycin.  Surgical and restorative stents are to be fabricated from the model made 7 year earlier (in the shelf of the lab).  Use a 3x14 mm dummy implant for trajectory determination.  Also prepare angled implants.

Return to Lower Incisor Immediate Implant, IBS, Improvement

Xin Wei, DDS, PhD, MS 1st edition 08/26/2016, last revision 01/19/2018