Practice Makes Perfect

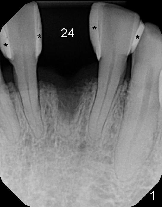
A 60-year-old man requests restoration of a missing lower central (Fig.1: #24).  His diabetes is controlled by med.  The edentulous space is wide mesiodistally; the diastemata between the adjacent teeth are closed by composite (*).  The tooth was extracted 2-3 years ago due to trauma.

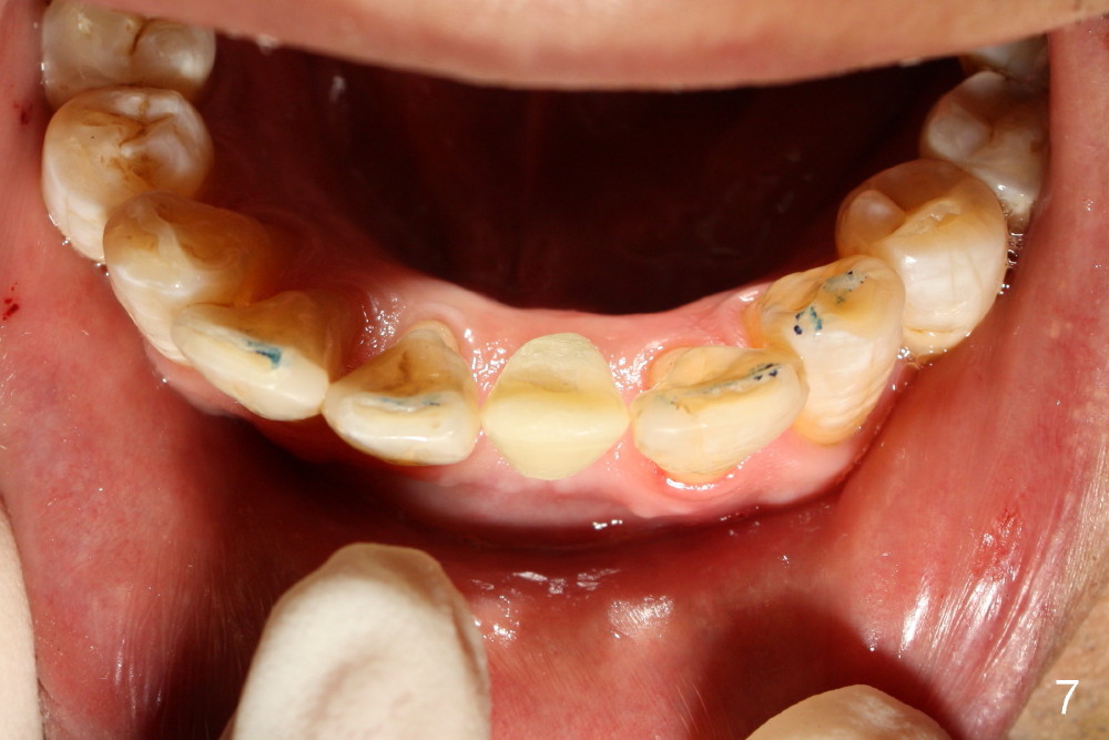
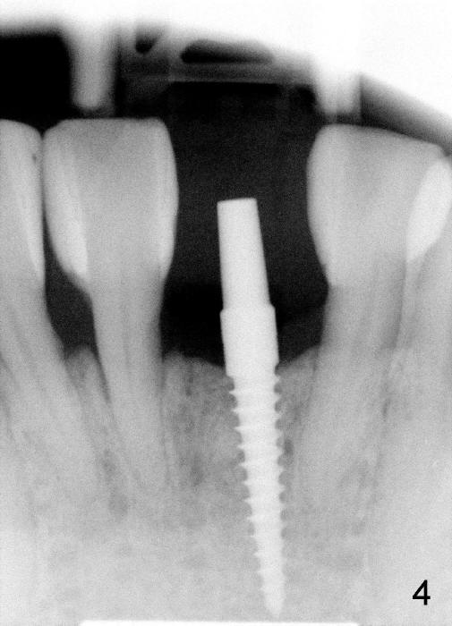
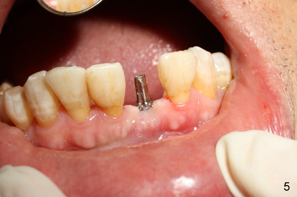
A 3x17 mm one piece implant is planned.  Osteotomy is created by a 1.5 mm pilot drill at the depth of 14 mm without incision (Fig.2); it is close to a neighboring incisor.  The trajectory of the osteotomy is intended to be changed (Fig.3 red) without success (white, 17 mm deep).  With measurement and calculation, the 3x17 mm implant is not expected to touch the root of the adjoining tooth.  In fact it is fine with insertion torque between 50-60 Ncm (Fig.4).  Without incision, the papillae appear to form immediately following implantation (Fig.5).  With adjustment of the abutment (Fig.6), an immediate provisional is fabricated (Fig.7).

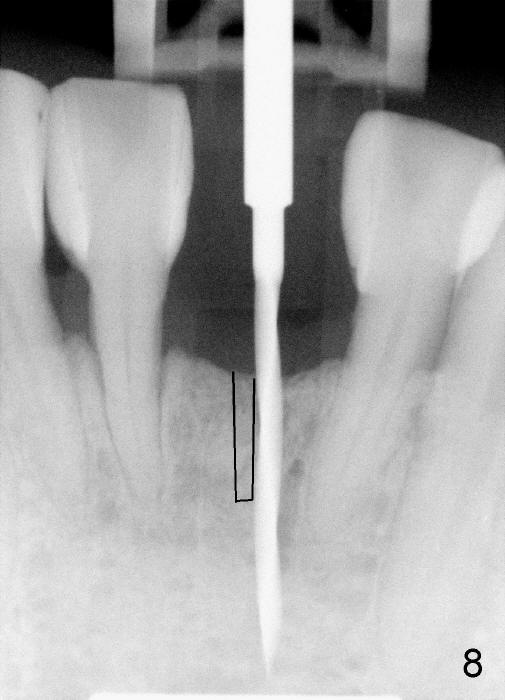
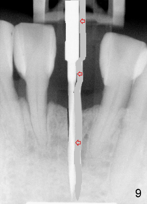
To place the implant correctly, the preop PA should be studied carefully to find the divergence of the roots of the neighboring teeth (Fig.1).  The depth of the initial osteotomy should be shorter, for example, 11 mm instead of 14 mm.  Once the trajectory is found to be corrected, an incision should be made; the osteotomy is to be overcorrected with Lindermann bur (Fig.8 black); the whole osteotomy is changed with proper angulation (Fig.9 arrows).

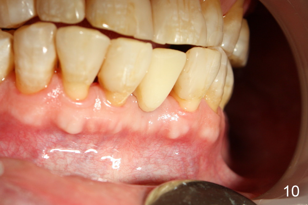
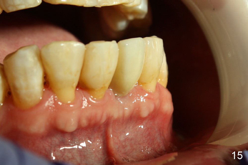
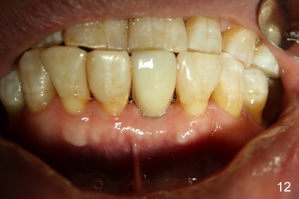
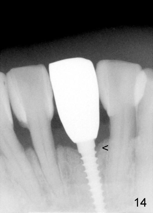
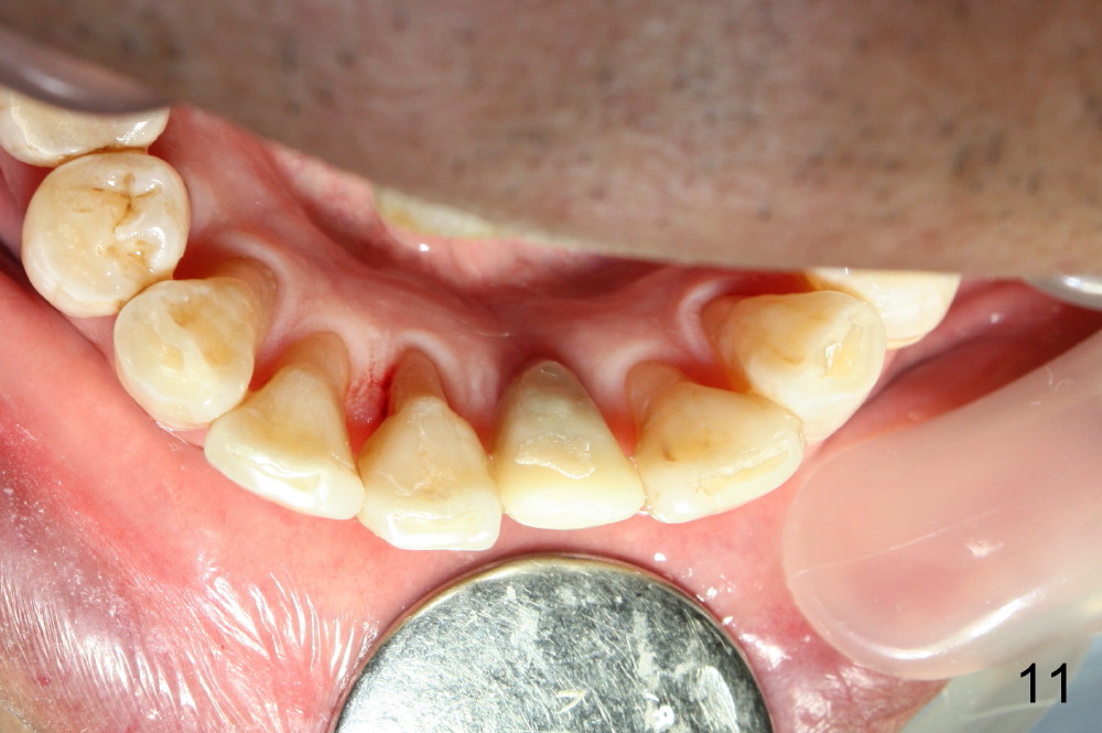
Fig.10,11 show 7 day follow up.  The permanent crown is seated 4.5 months postop (Fig.12).  Minimal bone resorption occurs at the crest 4 months postop (Fig.13), which is most likely associated with conservative approach (flapless).  The patient returns for follow up 2.5 months post cementation (Fig.14,15).  The implant remains in the bone 4 years post cementation (Fig.16 CT coronal section; lingual thread exposure, corresponding to preop defect in Fig.1).   There is mild coronal bone resorption 5 years 4 months post cementation (Fig.17).

Return to Lower Incisor Immediate Implant Incision Systemic Diseases #19 Armaments

Xin Wei, DDS, PhD, MS 1st edition 03/22/2014, last revision 01/31/2021