3 mm One Piece Implants for Lower Cupid and Bicuspid with Narrow Ridge

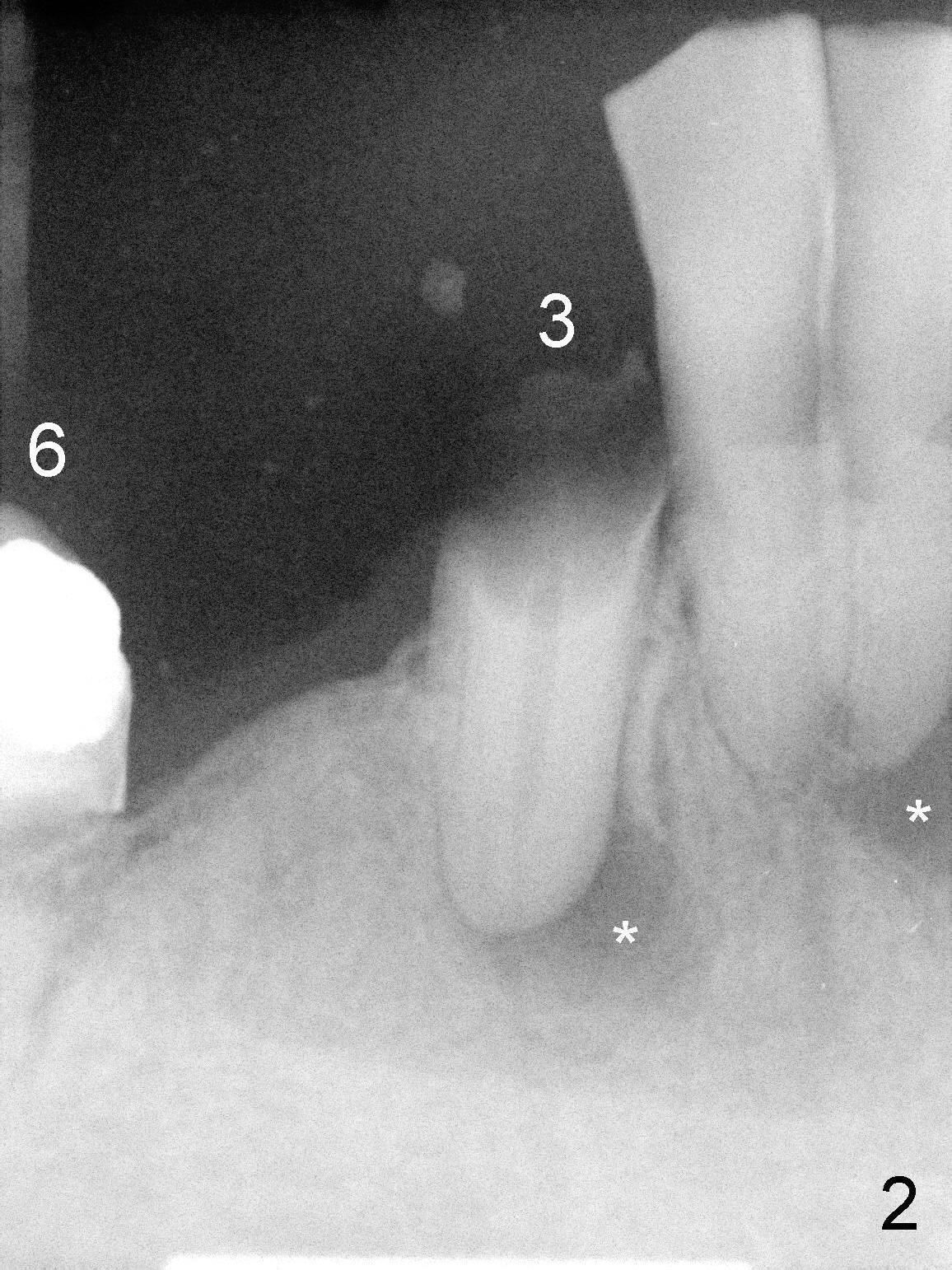
The lower right bridge (from canine (Fig.2: 3) to 1st molar (Fig.1: 6)) fails while a 77-year-old man is undergoing chemotherapy for urinary bladder cancer.  The abutments of the bridge are extracted without plan for implants (Fig.4).   Four months later, the patient returns for implants (Fig.3), but the ridge is narrow (Fig.5).  While 2 of 3x14 mm 1-piece implant are placed at the canine and 1st bicuspid sites, 2 piece ones at the 2nd bicuspid and 1st molar sites (Fig.6: 3.5x11 mm, 5x14 mm).  Soft (Fig.7-10) and hard (Fig.11) tissues heal 1 week (Fig.7) and 4 months (Fig.8-11).  There is minimal bone resorption 1 year 7 months post cementation (Fig.12,13, non-splinting).  It appears that narrow diameter implants are a valid solution to narrow ridge at the sites of the lower canine and premolar.  As long as there are enough implants for function, the crowns are not necessary to be splinted.  Surprisingly, the patient starts flossing after implant restoration.  Retrospectively an immediate provisional bridge should have been fabricated.

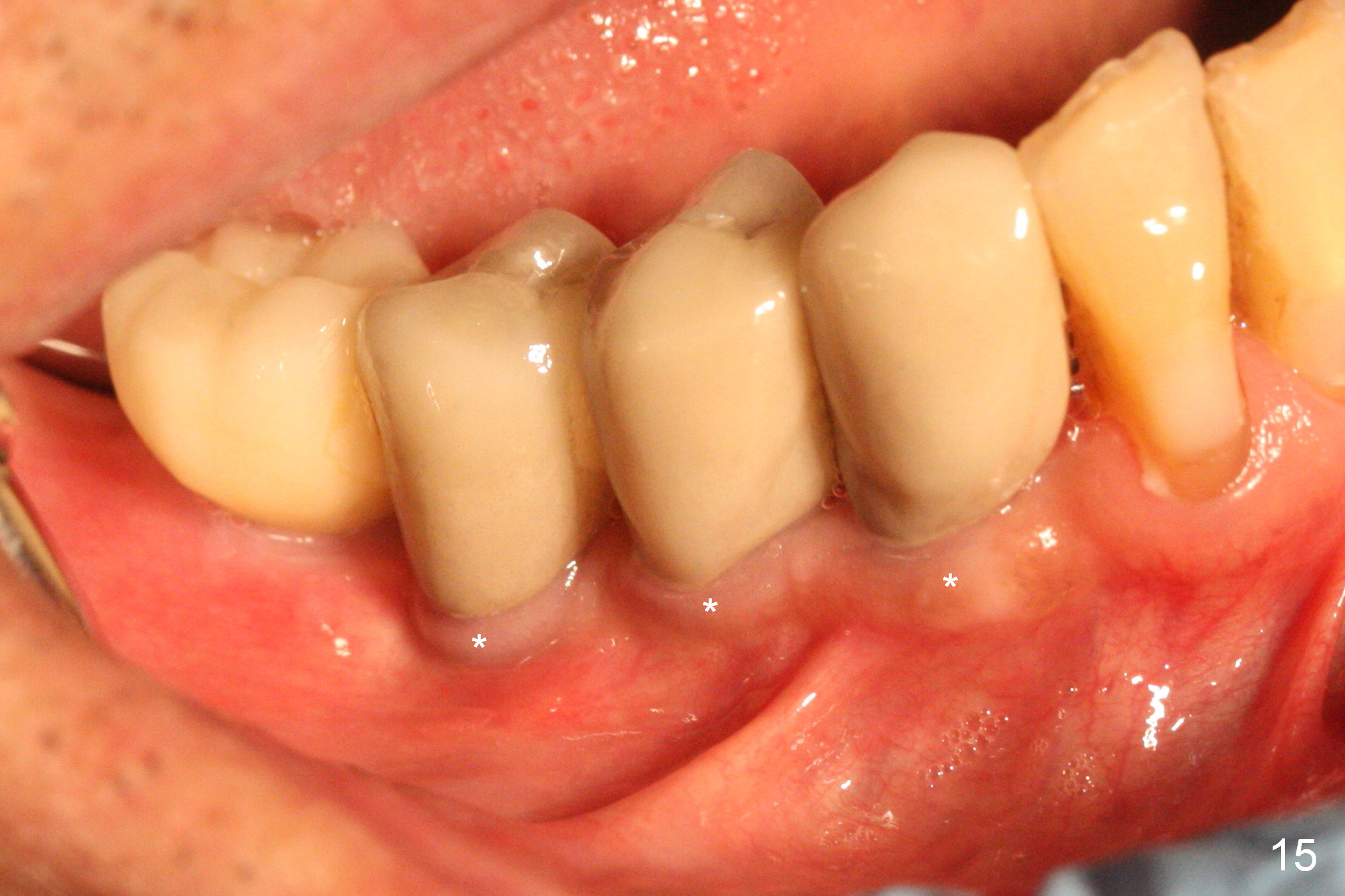
There appears to be no bone loss 2 years 5 months post cementation (Fig.14).  Gingival bands form around the implants at #27-29 three years 1 month post cementation (Fig.15 *).

Return to Lower Premolar Immediate Implant, Posterior Immediate Provisional

Xin Wei, DDS, PhD, MS 1st edition 06/12/2015, last revision 01/19/2018