![]() |
![]() |
![]() |
Possible Double Mental Loops
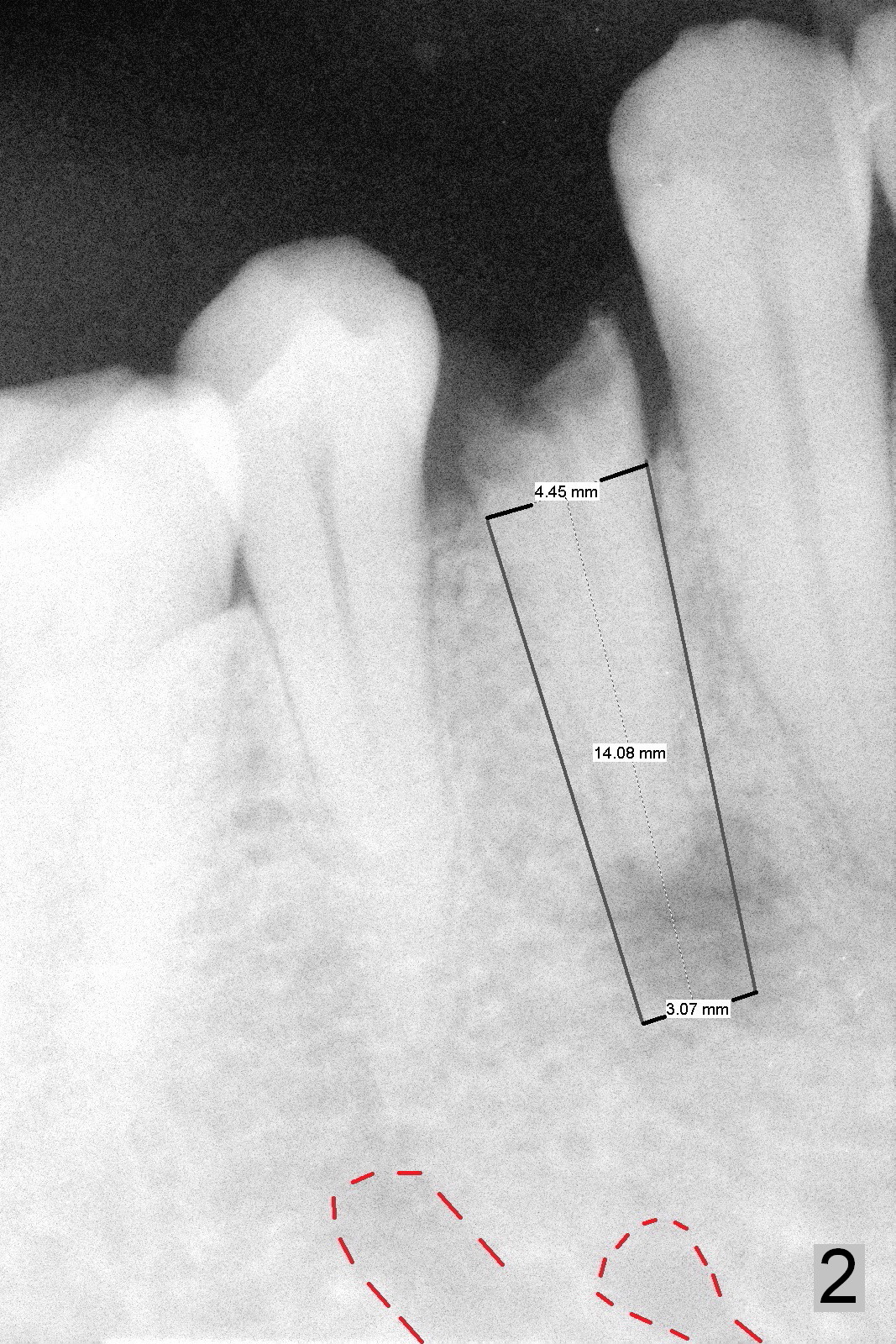
A 54-year-old man develops acute apical periodontitis associated with the tooth #28 (Fig.1). The latter appears to be non-salvageable with large periapical radiolucency (*). A 4.5x14 mm bone-level implant will be placed (Fig.2). The depth of osteotomy is to be tightly controlled after extraction (Fig.3 red long arrow) to avoid damage to the possible double Mental Loops (Fig.2 red dashed lines, 17 mm from the gingival margin). If the insertion torque is high, an immediate provisional is going to be fabricated. Bone graft is expected.
Lower Bicuspid Immediate Implant, Dr. Wu
Xin Wei, DDS, PhD, MS 1st edition 04/08/2015, last revision 04/12/2015