![]() |
![]() |
![]() |
![]() |
![]() |
Immediate Re-placement of 2nd Premolar
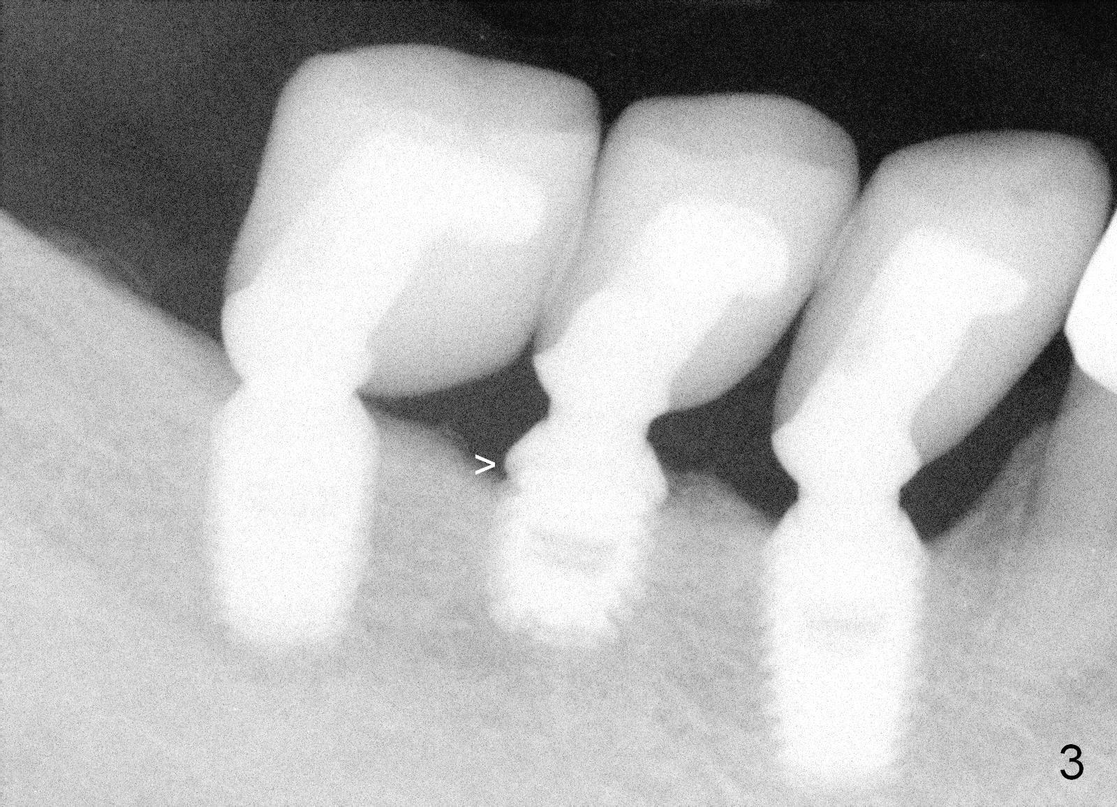
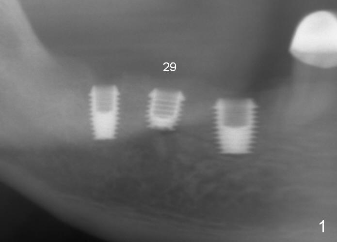
A 48-year-old man had 3 implants placed at #28-30 nearly 10 years ago (Fig.1). The implant at #29 is 4.5x6 mm because of proximity to the Mental Foramen. Bone shows gradual resorption around the implant at #29 two and 5 years postop (Fig. 2,3 >). It became loose when he accidentally bit on a piece of bone (Fig.4). A 4.5x11 (Fig.4) or 14 (Fig.2) mm tissue-level implant will be placed after Metronidazole treatment. CT will be taken tomorrow before surgery to further confirm the bone height. Since the previous implant was placed distally, the new one should be placed more mesially.
Return to Lower Premolar Immediate Implant
Xin Wei, DDS, PhD, MS 1st edition 05/23/2016, last revision 05/24/2016