Bury Implant Threads

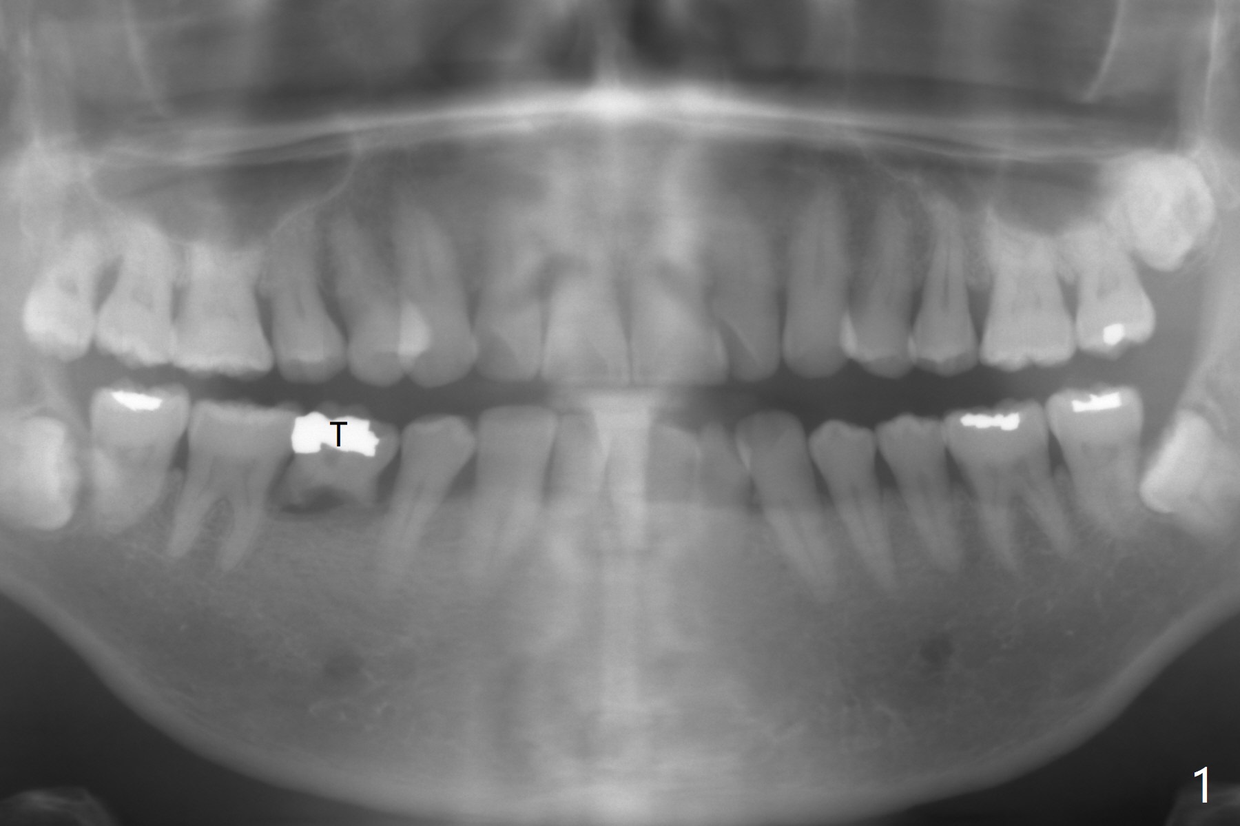
A 51-year-old man has a mobile 2nd primary molar (Fig.1 T).  The latter is much wider than the 2nd premolar.  Since there is crowding in the lower anterior region, it is the best to have limited orthodontic treatment to use the extra space at T to alleviate crowding anteriorly after implant osteointegration.  Although the patient has no intention for orthodontics, an implant will be placed distal (Fig.2 green).  To prevent periimplantitis, make sure that the implant is placed below bone.  Encourage the patient to brush normally over the provisional once there is no pain.  Use Rongeur to remove the septal bone before osteotomy.  Try IS implants if they arrive.

Return to Lower Premolar Immediate Implant, Armaments, Clindamycin 智齿拔除 术前软组织 Xin Wei, DDS, PhD, MS 1st edition 11/01/2017, last revision 07/18/2021