![]() |
![]() |
||
![]() |
![]() |
![]() |
|
![]() |
|
![]() |
|
![]() |
|||
Early Loading for Immediate Implant
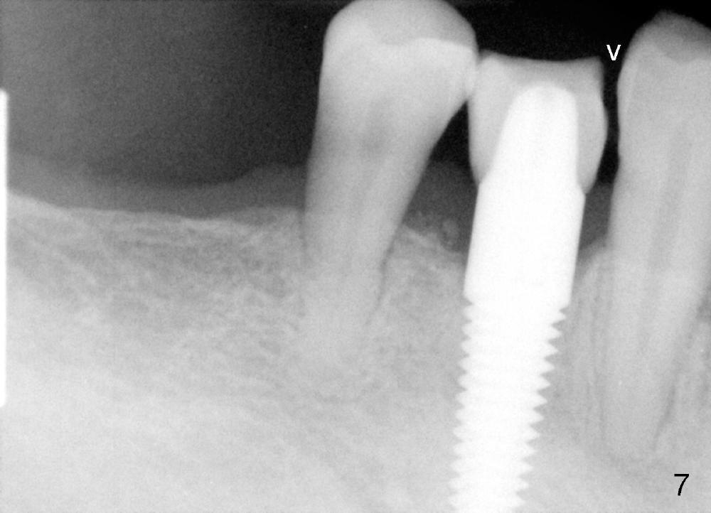
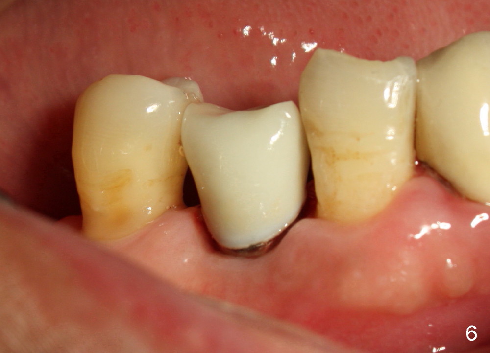
A 66-year-old man has poor dentition (Fig.1). Several teeth (x) including #28 need extraction and implants. The tooth #28 is extracted (Fig.2), followed by immediate implant (5x17 mm, Fig.3 I). There is more buccal gingival recession over the implant (Fig.4), which is less prominent 1.5 months postop (Fig.5). The definitive restoration is delivered less than 2 months postop (Fig.6), because of travel abroad. The patient agrees not to chew with the Emax crown. Five months later, he returns with chipped porcelain (Fig.7 arrowhead). It appears that immediate implant can survive early and over loading. More implants are necessary to share the masticatory loading. Since there is malocclusion, where to place implants appears to be critical (Model 3 30 4 5 6 7). There is no bone loss 4.5 years (Fig.8) or 5 years 8 months (Fig.9) post cementation.
Return to
Lower Bicuspid Immediate
Implant,
Full Mouth
Reconstruction,
Posterior Immediate Provisional
Xin Wei, DDS, PhD, MS 1st edition 10/26/2014, last revision 12/16/2018