![]() |
![]() |
![]() |
![]() |
![]() |
![]() |
![]() |
![]() |
![]() |
![]() |
Retighten and Splint Loose Implant
One month after implant placement at the sites of #29,30, the former is found loose (Fig.1,2). It is placed higher than #30. Three weeks later, PA is retaken to confirm that there is space apical to the implant at #29 (Fig.3 double arrows) and that there is distance from the mental loop (yellow dashed line). After infiltration anesthesia, the implant is torqued down initially (compare Fig.4,5) and more (Fig.6,7). To prevent re-loosening, the two implants are splinted (Fig.8).
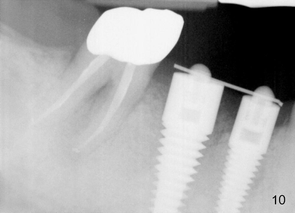
In 3 months, the gingiva appears to have grown up to cover more of the most coronal portion of the implants (Fig.9). Since the tooth #31 becomes symptomatic probably due to overloading (Fig.10), these 2 implants are prepared for restoration ahead of time.
There are several possible reasons for #29 loosening. Implants are placed almost on the right and left sides at the same time. The patient is a bruxer. Abutments placed immediately are used to hold perio dressing in place. After perio dressing is dislodged, the patient may chew with the abutments. There is distal wall defect associated with #29 socket when the tooth is extracted and socket preservation is done.
Retightening implant can be applied to immediate implant case.
Return to Immediate
Implant, Lower Bicuspid Immediate
Implant,
Immediate Implant
Complications
Xin Wei, DDS, PhD, MS 1st edition 11/16/2014, last revision 12/20/2015