![]() |
![]() |
![]() |
![]() |
![]() |
![]() |
![]() |
![]() |
![]() |
![]() |
![]() |
![]() |
![]() |
Upright Lower 2nd Bicuspid Using Implants As Anchors
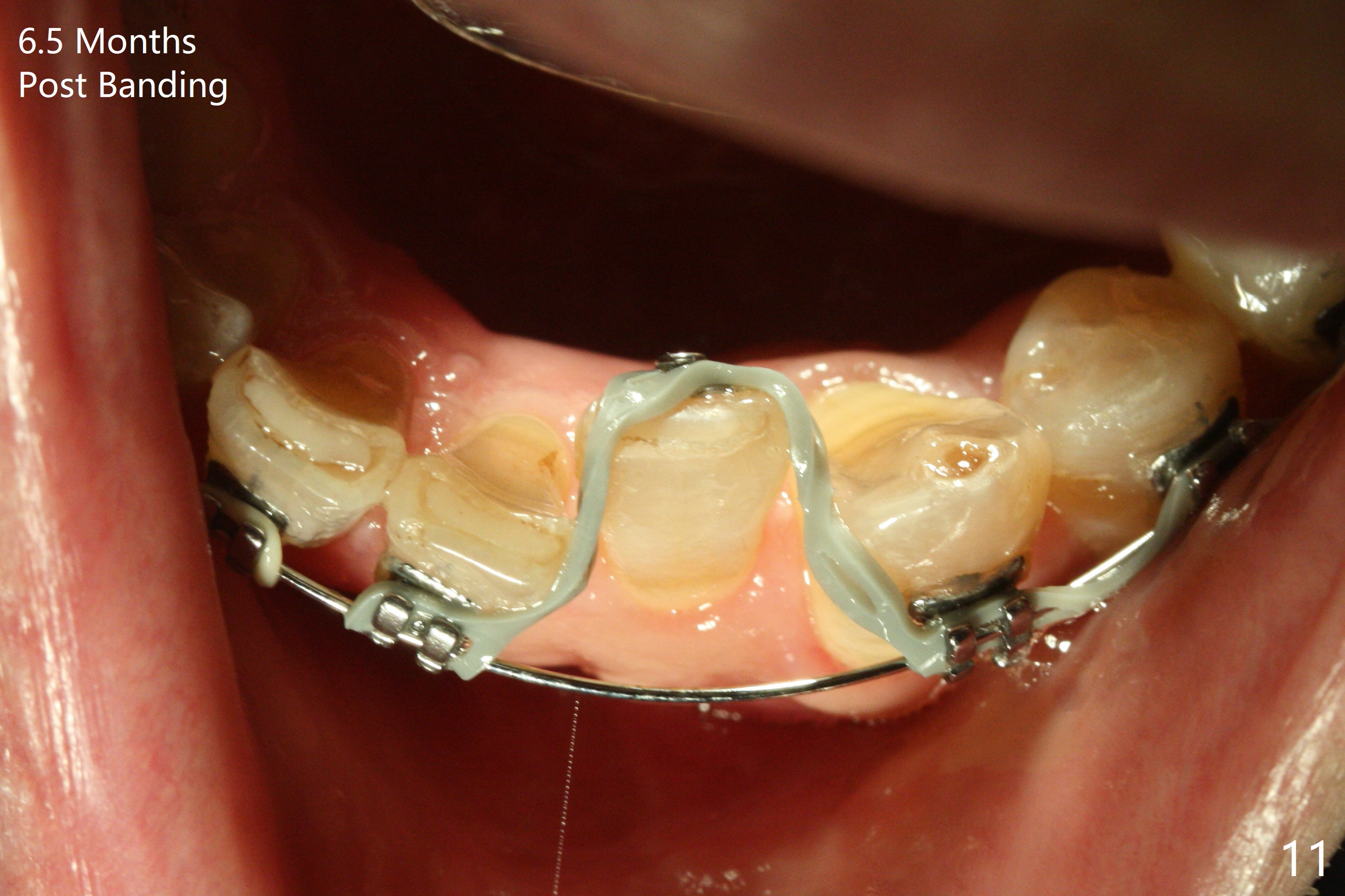
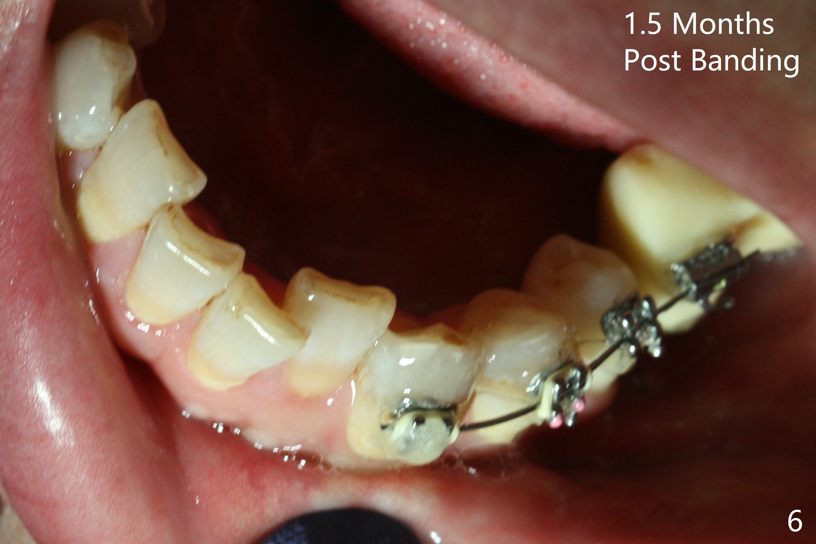
Two weeks post provisionalization over implants at #18 and 19 (4.5 months postop), acrylic is added to the provisional (Fig.1 *) and composite is placed on the other side (Fig.2 *) for clearance (Fig.3). Six days post bracketing, the diastema between LL5 and 6 decreases (Fig.4 between arrows, as compared to Fig.3), suggesting uprighting and distalization of the affected tooth. The diastema increases by trimming the mesial surface of LL6 provisional (Fig.5 *) prior to power chain placement. More acrylic is added to the occlusal surface of LL 6 and 7; more composite to that of UR3 (as compared to Fig.2) for clearance. Power chains change every week. LL5 is uprighted and distalized 1.5 months post banding (Fig.6,7 (14 niti)). Anterior brackets will be placed to correct LL2 cross bite next visit. Three weeks post open coil spring (5 months post initial banding), there is a space between LL2 and 3 (Fig.8) and between LL3/4 (Fig.9). The latter reduces instantly post power chain between LL3 and 6 (Fig.10). There is enough space for LL2 and sling shot is used to correct the cross bite 6.5 months post initial banding (Fig.11). The cross bite is corrected in 1.5 months after occlusal clearance is established (Fig.12). The lower left alignment is within normal limit, although in cross bite with the opposing dentition, immediate post molar crown cementation (Fig.13).
Lower Molar Immediate Implant, IBS, Ortho Cases, #3,4
Xin Wei, DDS, PhD, MS 1st Version 03/21/2018, Last Update 04/20/2020