![]() |
![]() |
![]() |
![]() |
A Short Implant Placed in the Septum
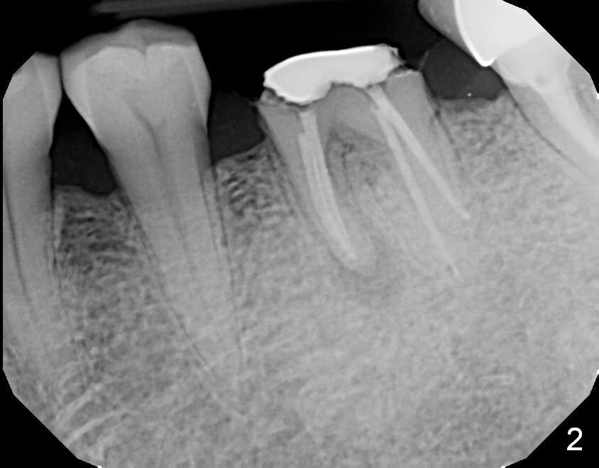
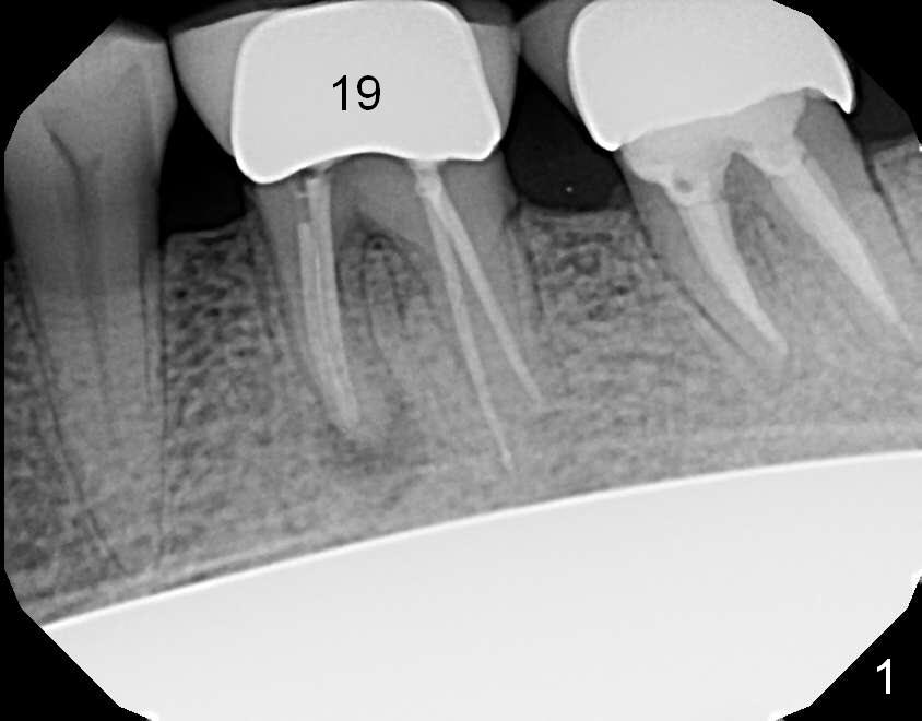
A 69-year-old man has pain in the tooth #19 (Fig.1). When a rubber dam clamp is placed for retreatment, the crown falls out (Fig2). Due to short clinical crown, the tooth is deemed non-salvageable. Fig.3 is an illustration after extraction. It seems that the septum is wide at the base. Measure socket depth. An osteotomy will be 1 mm longer than the socket depth (Fig.4). The osteotomy is initiated in the middle of the septum 14 mm deep. Insert a shortest parallel pin for occlusal check and a 14 mm long parallel pin for X-ray. Change trajectory if needed. A 5x14 mm tissue-level implant or 12 mm bone-level implant will be placed to prove that a short implant can achieve primary stability mainly by engagement into the septal struts and ~ 1 mm into apical new bone. With 2 roots distally, the position of the immediate implant will be affected?
Return to Lower Molar Immediate Implant
Xin Wei, DDS, PhD, MS 1st edition 05/16/2015, last revision 05/18/2015