Distal Osteotomy for Lower 1st Molar Immediate Implant

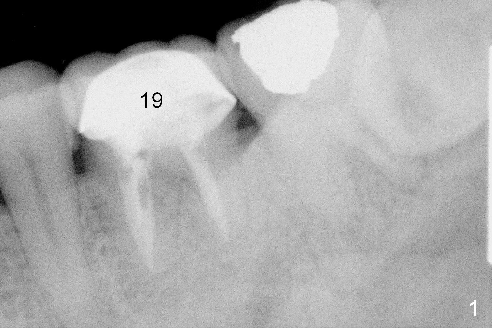
The tooth #19 of a 54-year-old man (FJ) looked normal 2.5 years ago (Fig.1).  The patient returns because of 3 fistulae developing around the mesial root of the tooth.  Recent PA shows a large radiaolucent defect (Fig.2,3).  To place an implant in the middle of the edentulous space, initial osteotomy should be distal because of the large mesial defect.

After extraction, the socket will be packed with gauze saturated with 2% Xylocaine/1:50,000 Epinephrine.  If the septum is present (Fig.4 S),  the initial osteotomy starts obliquely on the distal surface of the septum (Fig.5).  If the septum is absent, the osteotomy is initiated in the distal bottom of the socket (Fig.6, slightly lingual): 3-6 mm beyond the initial level.  A calibrated parallel pin is inserted (Fig.7 green line); the sensor block is placed as deep as possible (white outline) to confirm clearance between the tip of the osteotomy and the superior border of the Inferior Alveolar Canal (yellow dashed line).

Return to Lower Molar Immediate Implant

Xin Wei, DDS, PhD, MS 1st edition 01/13/2016, last revision 01/20/2019