Short Statue, Short Implant

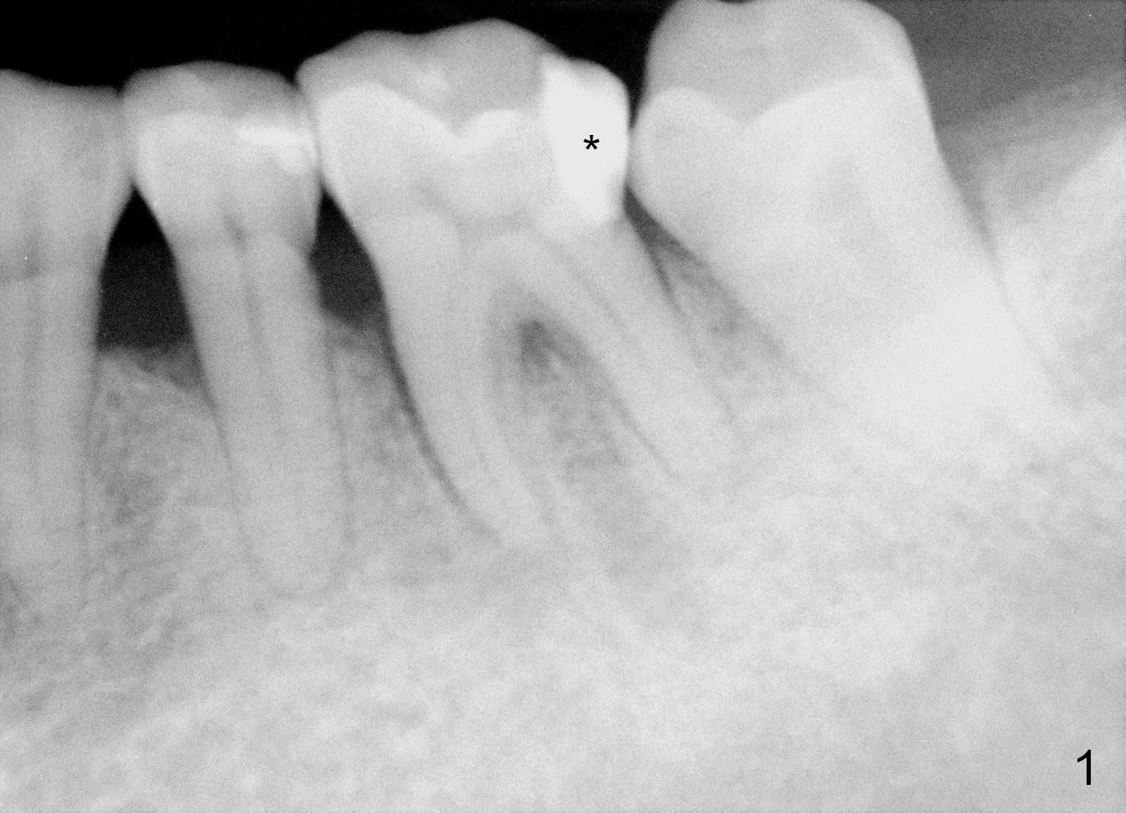
A 59-year-old lady has history of periodontal disease and bruxism.  The tooth #19 has pulpitis after unsuccessful DO composite (Fig.1 *) and requires root canal therapy (Fig.2).  Six months later, a fistula is found to communicate with the furca (Fig.3 *: gutta percha).  Less than 3 years, the furca enlarges with symptoms of infection (Fig.4 *).  She works out of state. The Principle of No Implant, No Extraction is adhered.  Since she is of short statue, the bone height is relatively limited.  A 6x14 mm tissue-level implant is appropriate (Fig.5, one piece).  Sensor 1 may be proper for her small mouth.  When the bottom of the socket is large and close to the Inferior Alveolar Nerve, can an immediate implant be placed?

Return to Lower Molar Immediate Implant

Xin Wei, DDS, PhD, MS 1st edition 05/17/2015, last revision 12/09/2018