![]() |
![]() |
|
![]() |
|
|
|
|
![]() |
![]() |
|
![]() |
![]() |
![]() |
![]() |
|
![]() |
![]() |
![]() |
![]() |
![]() |
Fistula
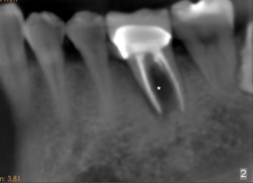
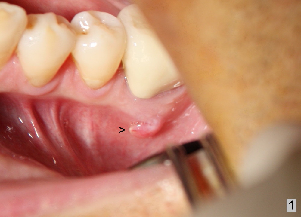
A 41-year-old man has discomfort in the lower left 1st molar. Exam shows swelling and a fistula in the mesiobuccal gingiva (Fig.1 >) and large radiolucency around the mesial root (Fig.2 *). After extraction and thorough debridement, osteotomy is initiated in the mesial socket, but the upper portion of the reamer (Fig.3 R, 2.5 mm) is placed in the middle of the edentulous space. By the time 5 mm reamer is removed, the osteotomy (Fig.4 O) forms mainly in the mesial socket with the septum (S) deviated to the distal socket. A 7x17 mm tap is placed with stability (Fig.5 T). An implant with the same dimension is placed with insertion torque more than 60 Ncm (Fig.6 I). With the large implant, two proximal sutures are able to close the remaining socket gaps (Fig.7). The swelling and fistula disappears and the gingiva tightly surrounds the implant in 1 week postop (Fig.8).
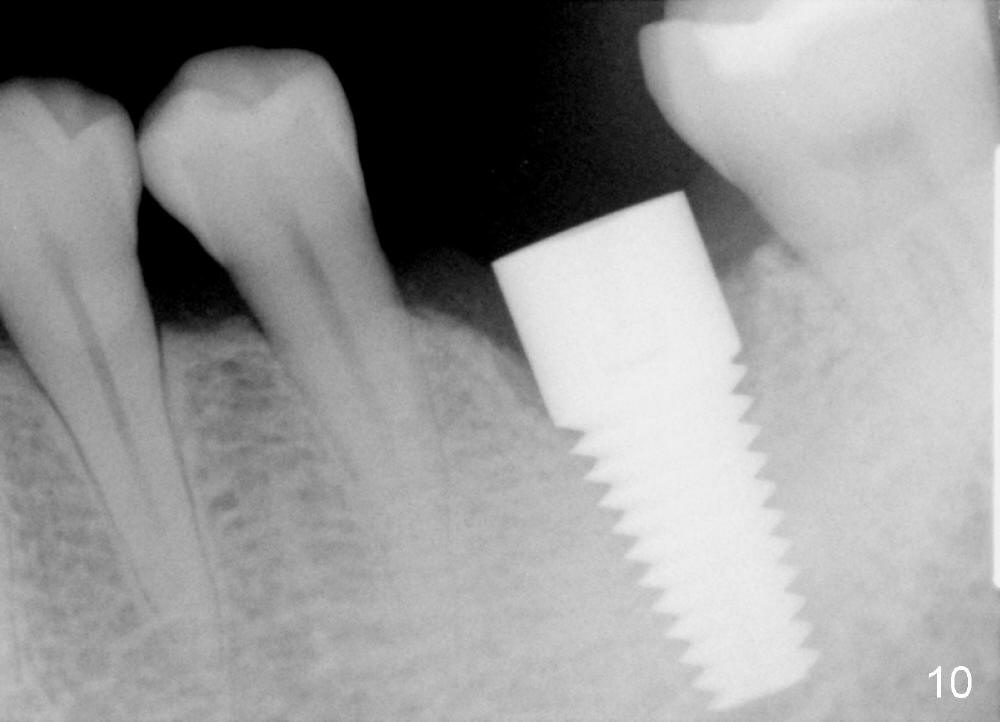
There is a thick gingival band buccal to the implant 7 months postop (Fig.9 *). Osteointegration occurs (Fig.10). The most unexpected finding is the formation of the papillae (Fig.11 *) when the permanent crown is seated. The cosmetic result is due to immediate placement of the large implant. Delayed implant usually cannot achieve this type of outcome.
Two and a half months post cementation, the buccal metal show is much less and confined to the midbuccal portion. It appears that the papillae increase their mesiodistal dimension (data not shown). Bone appears to remain stable over the implant surface 2.5 and 9 months post cementation (Fig.12 >,13). The papillae around the implant crown remain normal 11 months post cementation (Fig.14 *). No bone loss is noticed 26 (Fig.15) or 38 (Fig.16) months post cementation. There is no bone loss around the 7x17 mm tissue-level implant 6 years 8 months post cementation (Fig.17).
In brief, extraction and immediate implant is the best method to control infection and lead to complete rehabilitation.
Lower Molar Immediate Implant
Advantages of Immediate Implant
Webinars
上
下
劈开术
Xin Wei, DDS, PhD, MS 1st edition 12/13/2013, last revision 04/06/2021