![]() |
![]() |
![]() |
|
![]() |
![]() |
![]() |
|
18 mm Bone-level Implant for the Mandibular Molar (3 pointed fixation)
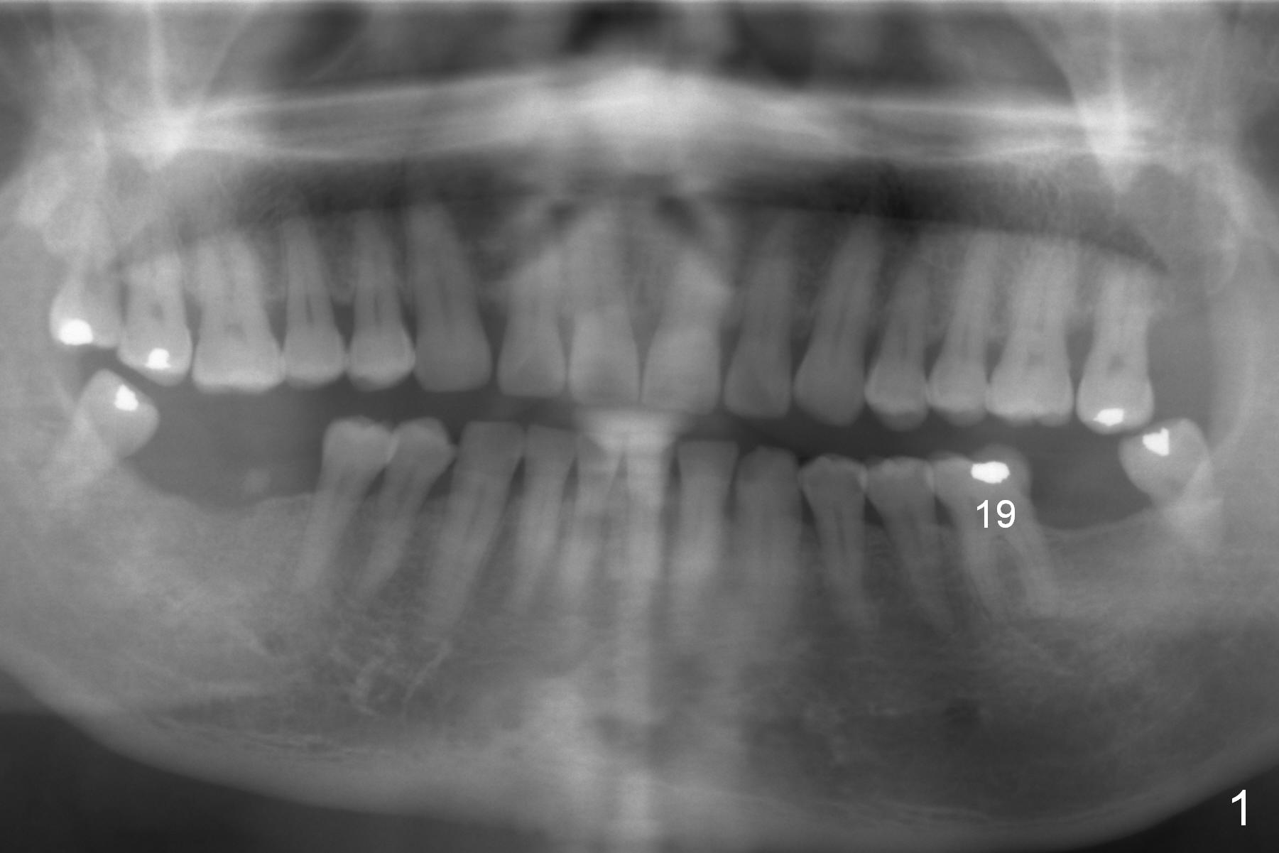
A 59-year-old man has cold sensitivity after chipping the distobuccal cusp of the tooth #19 (Fig.1 (panoramic X-ray taken 5 years ago). He is debating whether to save the tooth or not. If he chooses extraction and implant, the latter can be 18 mm (bone-level (11 (septum, purple in color)+7 (apical, green) mm), Fig.2). If the implant perforates the septum, it will achieve primary stability in the apical bone (the first of 3 fixation points). There is ~5 mm clearance (brown) from the Inferior Alveolar Canal (red dashed line). The cuff of the restorative abutment will be most likely 3 mm (pink), while the abutment is estimated to be 4 mm long (blue). After extraction (Fig.3, no Antibiotic), osteotomy will be initiated through the septum (Fig.4, 6B: red). When an implant is inserted, it may perforate the septum (Fig.5, 6C: green) into the mesial (Fig.6A: M) and distal (D) sockets. The remaining buccal (Fig.6C: B) and lingual (L) septal struts (the rest of two fixation points) contribute to implant stability.
Return to
Lower
Molar Immediate Implant, IBS
Xin Wei, DDS, PhD, MS 1st edition 03/02/2017, last revision 03/02/2017