![]() |
![]() |
![]() |
|
![]() |
![]() |
![]() |
A 4.5x9(1) mm Magicore is placed with 35 Ncm (insertion torque) after 4.3 mm Magic Drill; a 4.5 mm healing abutment is inserted (Fig.7 H). An error occurs because of using 1 mm cuff of the Magicore. Ideally 3 or 4 mm cuff should have been used because of reduction in the ridge by ~ 3 mm (Fig.2). The result of the error is failure of placing the implant at the desirable depth (<9 mm). The coronal threads are exposed and have to be covered by bone graft (autogenous bone and allograft (.5-1.5 mm) (Fig.8 *), followed by collagen dressing.
Splinted provisional is fabricated #30 and 31 one month postop. The patient returns for final restoration (single units) nearly 4 months postop (Fig.11). Since the margin is subgingival, please fabricate a screw type crown for #30.
PA is taken immediately post tightening and cementation (Fig.14, 5 months postop). It appears that new bone has grown between the most coronal threads (arrows).
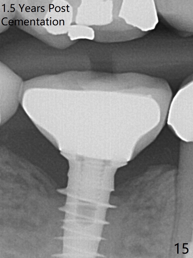
The bone density immediately around the implant appears to increase 1.5 years post cementation (Fig.15,16).
Xin Wei, DDS, PhD, MS 1st edition 10/15/2018, last revision 07/07/2019