![]() |
Where Should an Implant be Placed?
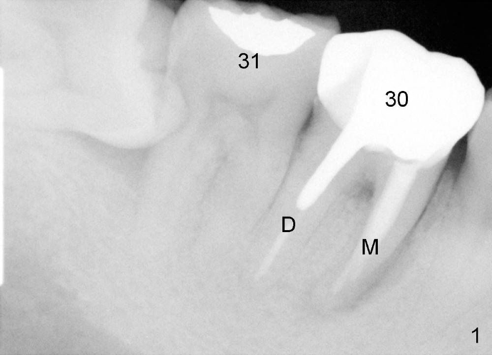
A 40-year-old man presents to clinic with chief complaint of pain in the lower right 1st molar. Exam reveals a fistula in the mesiobuccal area. PA shows a large radiolucency associated with the mesial root. Where should an immediate implant be placed?
Xin Wei, DDS, PhD, MS 1st edition 07/16/2014, last revision 07/17/2014