Implant at Healed Site of Lower 2nd Molar

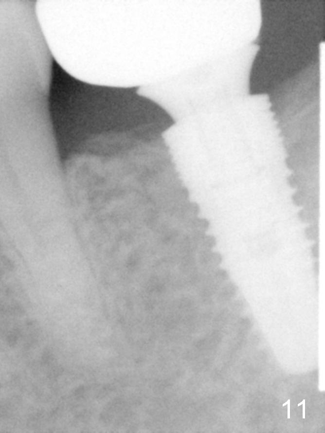
A 48-year-old lady is a dental phobic, requesting extraction of the lower left 2nd molar (Fig.1).   She returns for implant placement 9 months post extraction (Fig.2).  The ridge is mildly to moderately atrophic.  It appears that a 5x12 mm implant is appropriate for the site (Fig.3).  For safety, osteotomy is initiated at the depth of 10 mm; it appears that there is enough height for a 12 mm implant (Fig.4).  The depth is controlled by drill stopper (Fig.5 S).  Finally a 5x12 mm implant is apparently safely placed (Fig.6).  A healing abutment is placed and the incision is sutured with 4-0 Chromic gut (Fig.7).  Perio dressing is applied around the healing abutment for wound protection (Fig.8).  It appears that the healing abutment (Fig.8': *) helps stabilize the perio dressing, which remains in place 1 week postop.  When the perio dressing is removed, the wound around the healing abutment is healing (Fig.9).  There is no bone loss around the implant 3 months postop (Fig.10 (H: healing abutment), or 16 months postop (i.e., 9 months post cementation, Fig.11,12).  The patient complains of pain when she chews with the implant crown, but pain stops whenever she does not bite.  Percussion does not elicit any discomfort.  The gingiva is healthy.  There is possibility of the buccal plate being thin or the lingual plate being perforated in the submandibular fossa.  If the discomfort remains the same next 6 months, CBCT will be prescribed.

Return to Professionals, Lower Molar Immediate Implant

Xin Wei, DDS, PhD, MS 1st edition 07/31/2015, last revision 08/01/2015