![]() |
![]() |
![]() |
![]() |
![]() |
|
Provisional-Assisted Intrusion
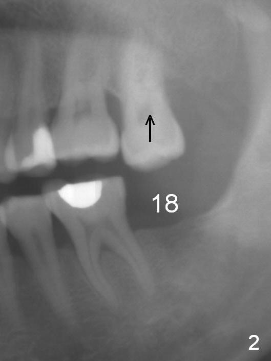
A 50-year-old man has lost the tooth #18 for 10 years; the opposing tooth (#15) has been supraerupted in the last 6 years (Fig.1,2). Mini-implants are placed to intrude the tooth #15 (Fig.2 arrow), instead leading to distalization in 4 months (Fig.3 arrow). Segmental orthodontic appliances are placed with noncompliance. Five months post implant placement at #18, a provisional (Fig.5 P) is fabricated with intentional supraocclusion. In 4 months, the marginal ridges of the teeth #14 and 15 are at the same level (Fig.4). To prevent the 2nd molar from distalization, keep the third molar if present.
Return to
Implant & Ortho
2
Next Case
导板与张口度
Xin Wei, DDS, PhD, MS 1st edition 02/19/2017, last revision 01/01/2021