Loose Proximal Contact with Food Impaction

A 65-year-old woman was pleased with functionality of the implant crown at #18 immediately post cementation (Fig.1 (taken 6 months post cementation).  In 2 years and 8 months, she complains of gingival irritation after food impaction.  Although the proximal contact is slightly light with floss, the gingival embrasure feels to be extremely large (Fig.1 *).  When the crown is to be remade, increase the vertical contact (Fig.2 red line) to close the gingival embrasure as much as possible.  PA taken immediately before redo shows that there is no gap between #18 and 19 (Fig.3).  When the crown is being cut off, the gingiva is tender.  It appears that the existing crown (made by Classic Craft) has overextended margin.  When the new crown is being fabricated, trim the margin of the die very well.   The margin of the new crown should be shorter (Fig.3 red curved line).

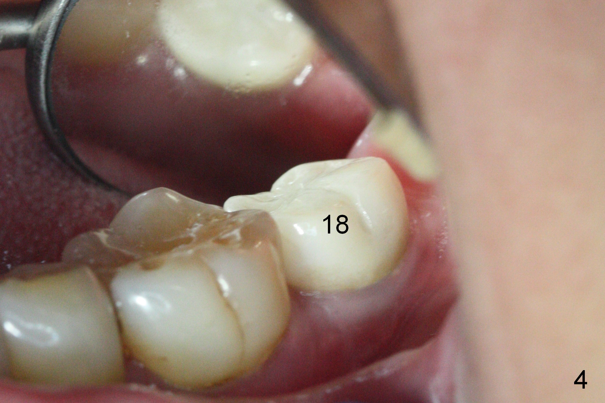
Clinically the existing crown is a little too small (Fig.4).  Since the implant is not too small (5 mm in diameter) and has been placed 3 years 4 months, the implant must be well osteointegrated (take PA and BW).  The crown should be as wide as possible buccolingually with the wide buccolingual contact.

Return to Lower Molar Immediate Implant, Long-Termed Follow Up

Xin Wei, DDS, PhD, MS 1st edition 10/23/2016, last revision 05/18/2018