Stopper

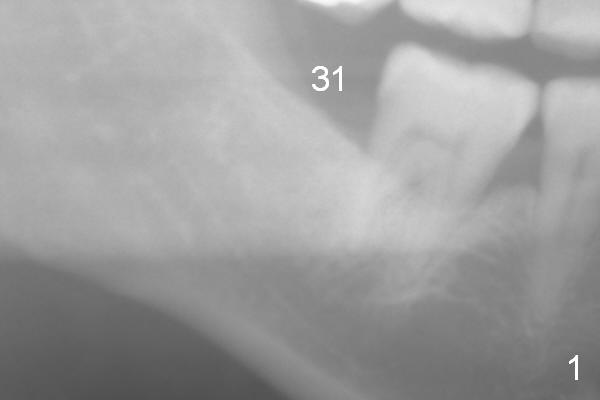
A 59-year-old lady has lost the tooth #31 for several years (Fig.1).  In the last 7 years, the 1st molar has undergone mesial oblique bone loss (Fig.2 *).  The apical half of the lamina dura has become denser (arrowhead).  These 2 types of bone changes suggest occlusal trauma to the tooth, overloading because of missing #31.  The upper 2nd molar appears to have been supraerupted more (Fig.2 black arrow).  Before an immediate provisional is fabricated for the tooth #31, a short abutment is expected (possible 5841 or 6841).

Since panoramic X-ray does not show the nerve very well (Fig.1,2 yellow dashed line), a PA should be taken prior to surgery, as deep as possible.  If the PA does not work, CT will be taken.

The buccolingual ridge should not be too wide.  #15 is expected.  For safety, an implant system with stoppers will be used for the area with poor visibility.  Distance from the neighboring tooth is 5 mm (Fig.2 red lines).  Set the 4 mm implant spacer with 2 mm pilot drill.

Return to Lower Molar Immediate Implant

Xin Wei, DDS, PhD, MS 1st edition 05/23/2015, last revision 11/20/2018