![]() |
![]() |
![]() |
![]() |
Ideal Implant Trajectory
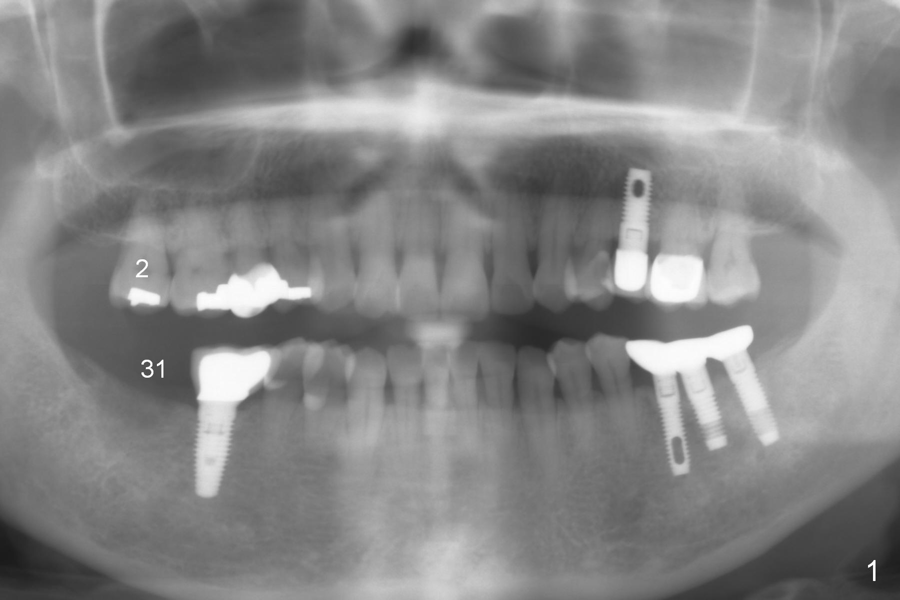
A 62-year-old woman requests #31 implant placement ~ 1 year post extraction (Fig.1). The opposing tooth (#2) appears to have not supraerupted. The socket outline at #31 is visible (Fig.2,3 red dashed line). The initial osteotomy (green) should bisect the socket and be perpendicular to the posterior mandibular slope (pink). The stopper is set at 10 mm with sufficient clearance from the superior border of the Inferior Alveolar Canal (yellow dashed line). Take PA for confirmation and make necessary adjustment. The implant is either 5x17 mm (tissue-level) or 5x13 or 14 mm (bone-level).
Return to
Lower
Molar Immediate Implant, IBS
Xin Wei, DDS, PhD, MS 1st edition 10/25/2016, last revision 12/12/2016