Two Molar Implants

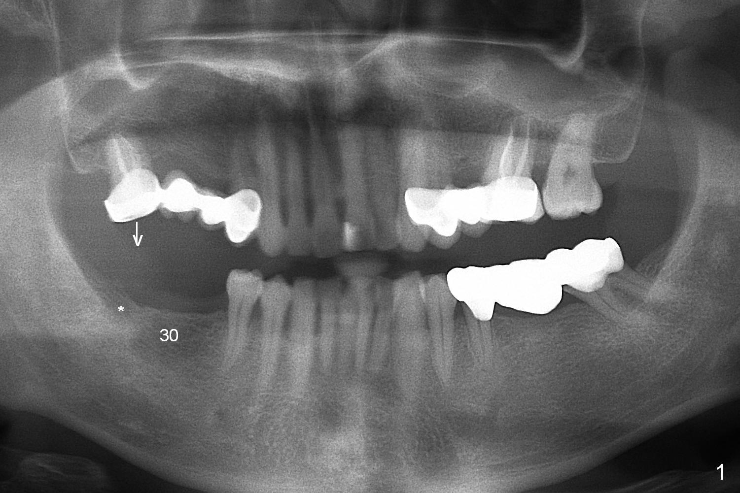
A 54-year-old man has multiple restoration (Fig.1). The curve of Spree on the right side is abnormal (arrow with #2 supraocclusal; #3 and 4 infraocclusal).  Bone density at the sites of #30 and 31 appears to be low.  Prepare bone expansion. 

The bone height is good (Fig.2 (red dashed line: the superior border of the Inferior Alveolar Canal)).  Implants at #30 and 31 are expected 5x12 or 14 and 5x10 or 12 mm, respectively.  The abutments are 6.8x4(2) and 6.8x4(1) mm.

A surgical stent for the lower right quadrant is to be placed as a guide to reduce #2 occlusion (Fig.3 *).  Wax up shows that the pontics at #3 and 4 are infraocclusal.  It appears that the upper right bridge should be removed.  Implants are placed at #3 and 4 and new crowns are fabricated at #2 and 5 to have normal occlusion. 

Ridge atrophy at #30 and 31 is mild to moderate (Fig.4).   

Return to Lower Molar Immediate Implant, IBS

Xin Wei, DDS, PhD, MS 1st edition 11/13/2016, last revision 01/19/2018