Ball Abutment Retained RPD

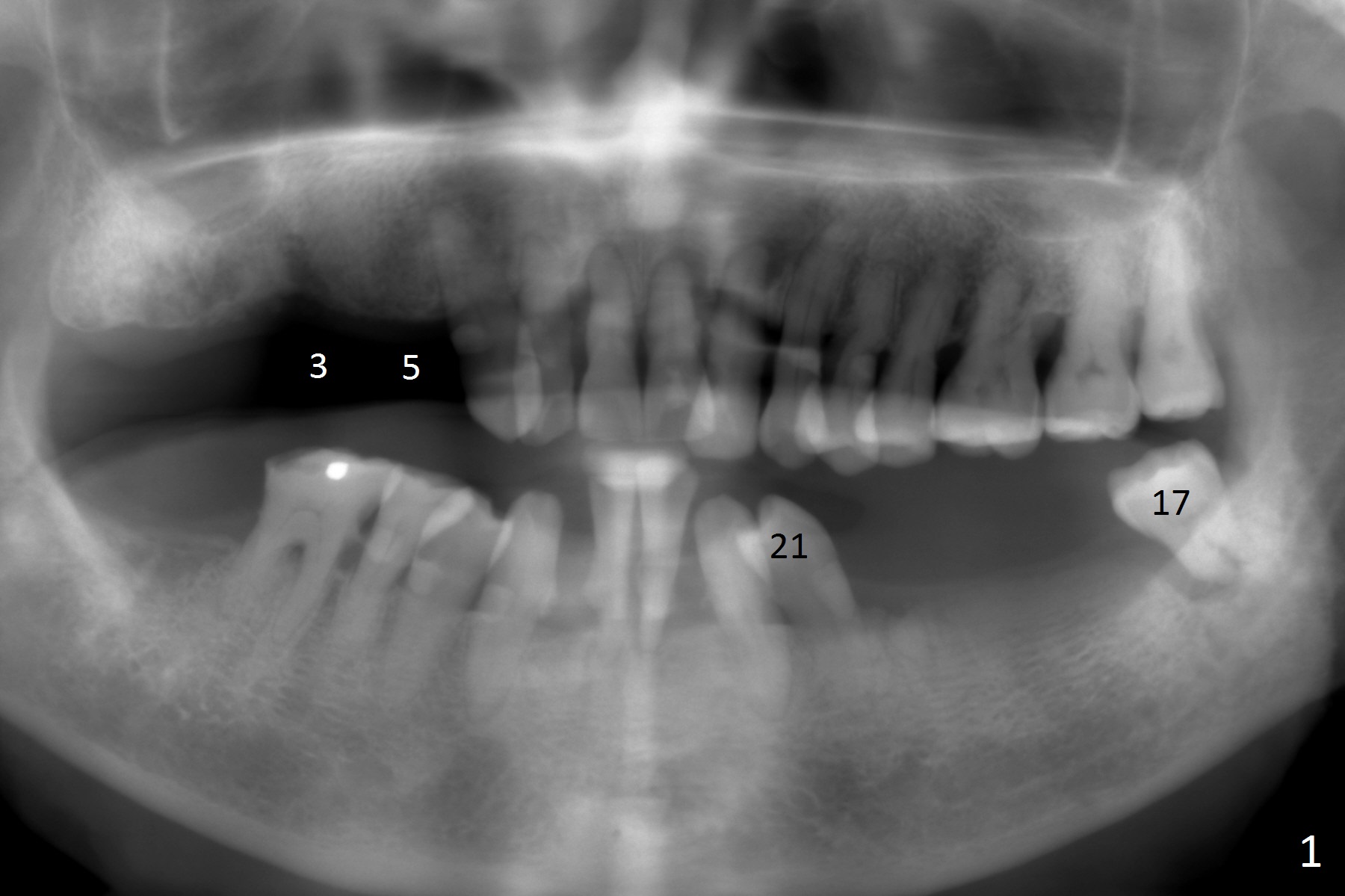
A 83-year-old woman requests lower RPD to replace #18-20 and 23-26 (Fig.1), although UR FPD supported by implants at #3 and 5 (Fig.2,3) is a better option.  For the RPD, an implant will be placed at #18 (Fig.4) or 17 (Fig.5) with ball abutment.  At #18, a shorter implant will be placed at the top of the Inferior Alveolar Canal (brown), while at #17, a longer implant will be placed buccal (B) to the canal.

Return to Upper Lower Molar Immediate Implant, Prevent Molar Periimplantitis (Protocols, Table), IBS, Antibiotic

Xin Wei, DDS, PhD, MS 1st edition 06/15/2017, last revision 03/01/2018