![]() |
![]() |
![]() |
![]() |
![]() |
![]() |
![]() |
|
Limiting Factor for Immediate Implant
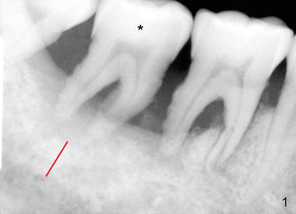
Mobility and pain associated with the lower right 2nd molar (Fig.1 *) are chief complaints from a 62-year-old man. Infiltration anesthesia allows for extraction and debridement of the socket, but not osteotomy with drills due to inability to achieve complete anesthesia. Because of limited bone height (Fig.1 red line), block anesthesia is not administered on purpose. Immediate implant is aborted; socket preservation is to be done. In short, pain control is a limiting factor for immediate implant. If pain is chief complaint prior to extraction, possibility of not performing immediate implant should be informed to the patient prior to the surgery. The patient should take antibiotic several days preop.
Intraop PA with a radiopaque instrument in the socket reveal the socket is large (Fig.2 arrows). The latter is filled with bone graft (Fig.3 arrows) and collagen plug (Fig.4). Fig.5 and 6 show wound healing 7 and 13 days postop. The ridge is not atrophic 4 months postop (Fig.7), ready for implant.
Return to Immediate
Implant, Lower Molar Immediate Implant
Xin Wei, DDS, PhD, MS 1st edition 06/30/2014, last revision 01/19/2018