Place Implant Deeper

The soft tissue heals around the implant 1 months postop (Fig.1), but the implant (7x11 mm) is unstable. It should have been placed 2 mm deeper (Fig.2).  It is splinted for the neighboring tooth (Fig.3).  When the splint is removed 4 months later, the implant remains mobile.  It is removed with infiltration anesthesia.  The osteotomy is deepened by approximately 2 mm.  A 7x14 mm tap is inserted with stability (Fig.4); there is apical space to be engaged further (arrowheads).  A 7x14 mm implant is placed with insertion torque > 60 Ncm (Fig.5 I); an abutment (A) placed to keep perio dressing in place.

The 2nd procedure is done smoothly without pain.  The reason to place a shorter implant in the first procedure is lack of pain control.  There was infection.  The pain persisted for a while postop.

In contrast, the patient is asymptomatic after the 2nd placement.  The implant remains stable (Fig.6 (15 days postop); Fig.7 (4 months postop)).

It appears that immediate implant should be aborted if the infection and pain is not controlled well after extraction.  Active infection may cause bone resorption around the implant and formation of fibrointegration.  Infection is associated with pain; the operator cannot get the implant deep enough.

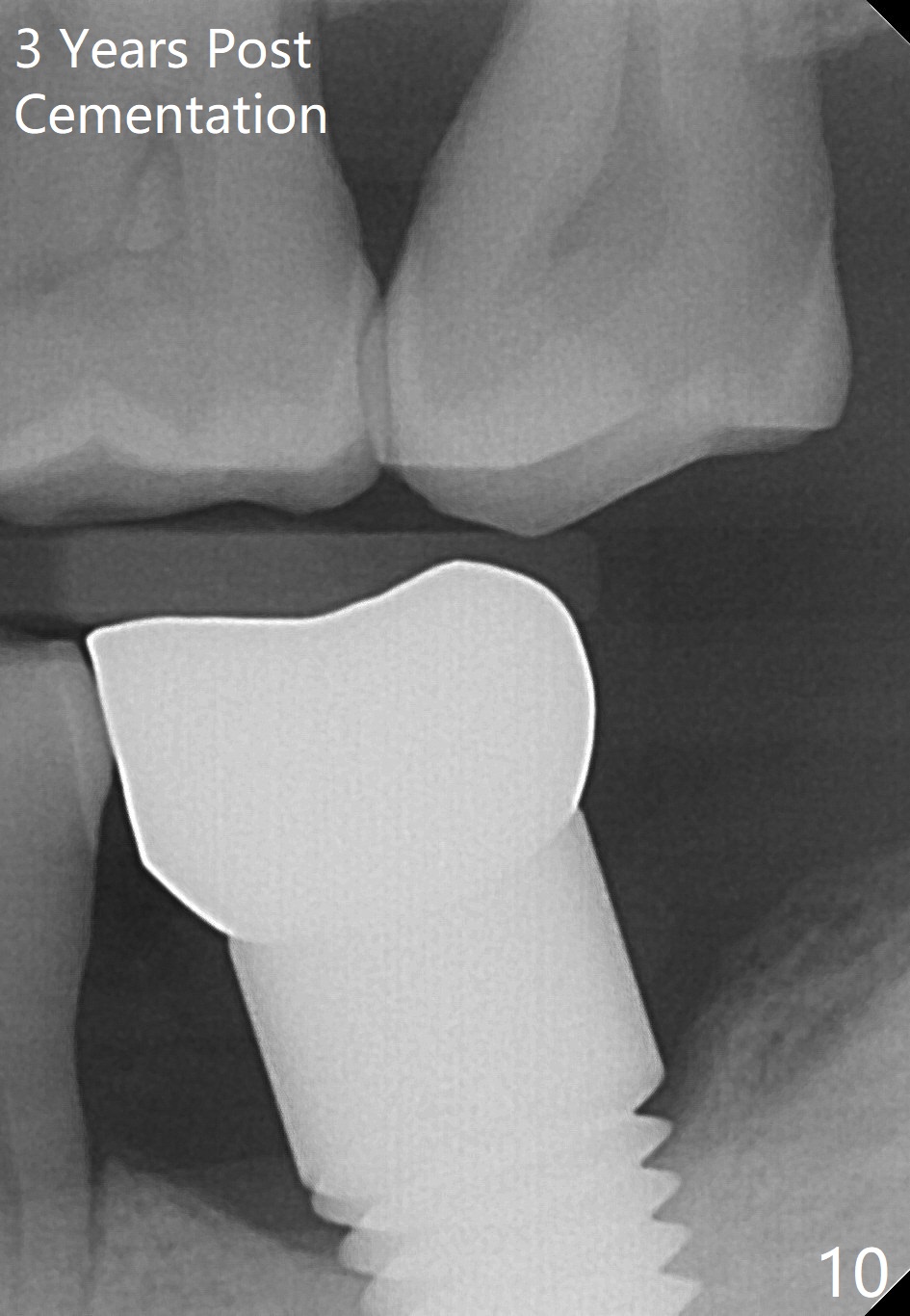
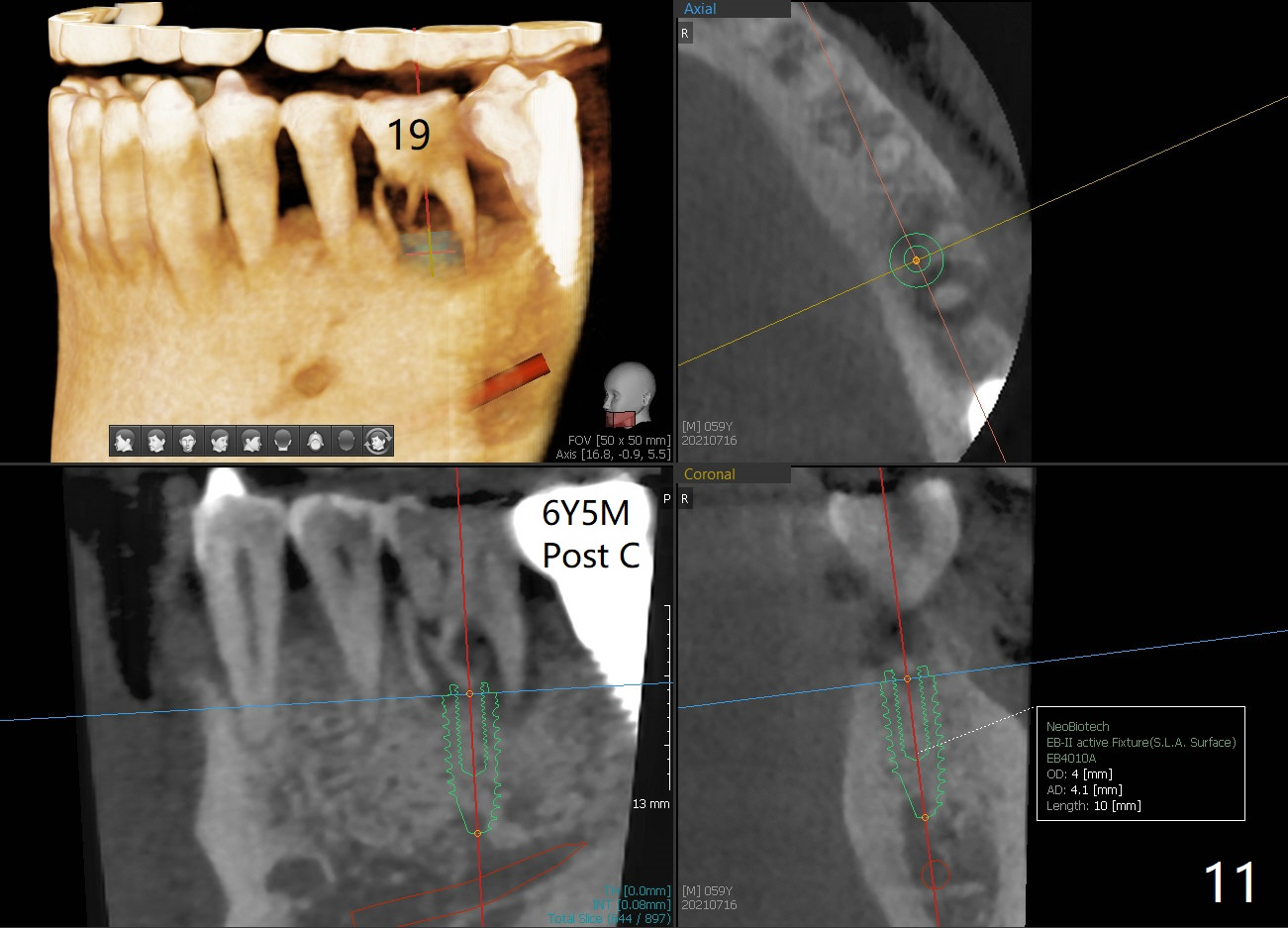
There is no bone resorption 6 months post cementation (12 months postop, Fig.8,9).  Mild bone resorption is observed 3 years post cementation (Fig.10).  It may be related to the large implant (7 mm) in association with chronic periodontitis and bruxism.   The roots of the teeth #19 and 30 fracture 6 years 5 months post cementation at #18 (Fig.11).  Since gingival recession is severe at #18 probably related to the large implant, the one at #19 will be designed small.

Return to Lower Molar Immediate Implant Redo Protect Graft

Xin Wei, DDS, PhD, MS 1st edition 07/25/2014, last revision 07/18/2021