![]() |
![]() |
![]() |
![]() |
![]() |
![]() |
![]() |
|
Lower Anterior Segment Reconstruction
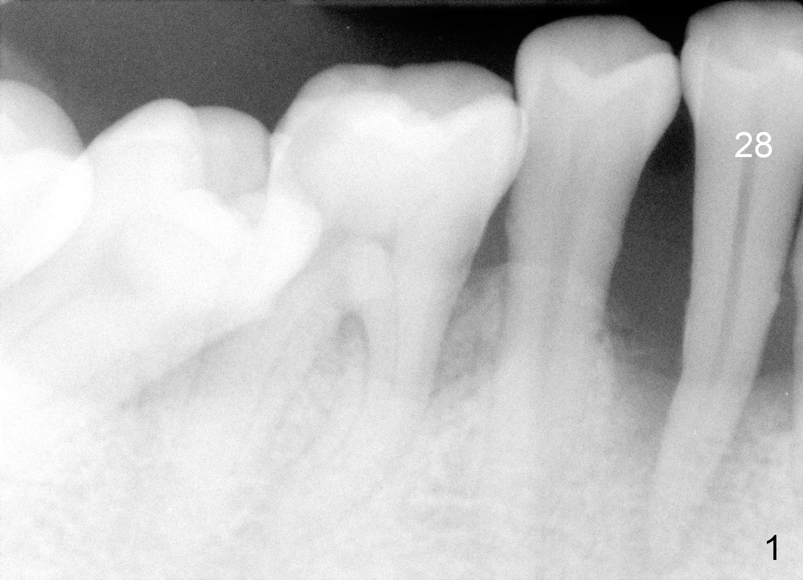
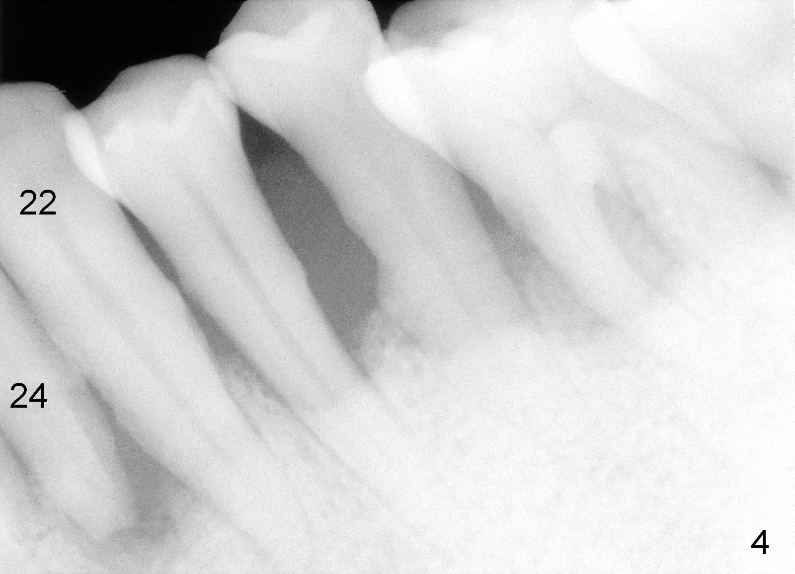
A 62-year-old man (CZ) has severe generalizd chronic periodontitis and occlusal trauma. Full mouth extraction and reconstruction is required. The patient prefers extraction by stage. The lower anterior segment reconstruction is our first treatment: from #22-28. The tooth #28 is exfoliated now (Fig.1 (full mouth X-ray was taken 4 years ago), 5). There are 3 incisors left. Two-piece implants are going to be placed for the canines and premolar, while 2 of 1 piece implants in the incisor sockets (treated with Metronidazole with Epinephrine gauze) for a bridge (Fig.2). Straight 1 piece 3 mm implants are routinely placed, whereas angled or 2.5 mm ones are backup. Two of 1.2 mm pilot drills and 3 of marked parallel pins may be needed.
The waxed-up tooth at #28 appears to be too wide, probably due to mesial shifting of the anterior tooth (Fig.6). An implant will be placed at #28 prior to anterior tooth extraction so that the neighboring teeth will be used as trajectory guides. It will be placed as distal and lingual as possible. Surgical and restorative stents have been fabricated with change into normal overbite (Fig.6,7 red line).
Return to Lower Multiple Immediate Implant
Xin Wei, DDS, PhD, MS 1st edition 09/23/2015, last revision 09/28/2015