Lower Arch Reconstruction Using Implants

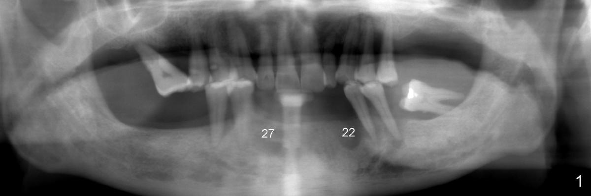
A 52-year-old man seeks treatment 2 months following loss of #22-27 fixed partial denture (FPD) (Fig.1,2).  The remaining dentition has moderate to severe chronic periodontitis.  Scaling & root planing has been done for the upper arch.  Full mouth reconstruction is planned for the lower one in two steps.  In the first procedure, the teeth #18, 20 and 21 are extracted; an incision is made from #20 to #27; two immediate implants are placed at the sites of #20,21 (one or two piece, Fig.3,5 X); another two implants at #22,27 (recently healed sites: Fig.3-5: I) and two one piece implants at lateral incisor region (I: for an implant supported FPD).  In case one of the lower left premolars cannot have an implant due to proximity to the nerve, a FPD can be fabricated in the canine/premolar sextant. A splinted immediate provisional restoration will be fabricated from #20-27 immediately.

Once the lower left and lower anterior condition is stabilized, the tooth #29 is extracted and replaced by an immediate implant and provisional.  The tooth #28 is relatively stable and kept as an occlusal stopper.

Return to Introduction to Lower Arch Reconstruction

Xin Wei, DDS, PhD, MS 1st edition 03/30/2014, last revision 01/19/2018