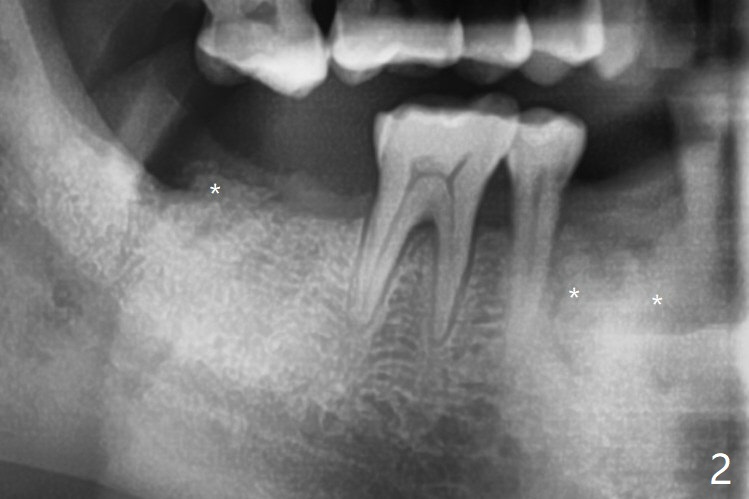
拔除32号牙时发现它接近31区(将要植牙),必须植骨(近中部分(远中塞入胶原塞)),27,28颊侧骨板缺失(大量肉芽组织),植骨理所应当,而且必须拼命推压,但愿推到颊侧骨板,细的皮质骨没有压制感,非要加入粗的松质骨皮质骨,一张12x12毫米胎盘膜剪成两片覆盖27/28和32拔牙窝,4-0 PGA缝线固定,拍摄术后半侧全景片后(图二 (*:骨粉)),使用牙周敷料保护伤口。27/28重叠,近远中8.11毫米,可以植入一个植体,做悬臂桥,或者植入两者之间。

瘘道     Last     Next

Xin Wei, DDS, PhD, MS 1st edition 08/29/2020, last revision 08/30/2020