![]() |
![]() |
![]() |
![]() |
![]() |
![]() |
![]() |
没控制糖尿病与即刻种植
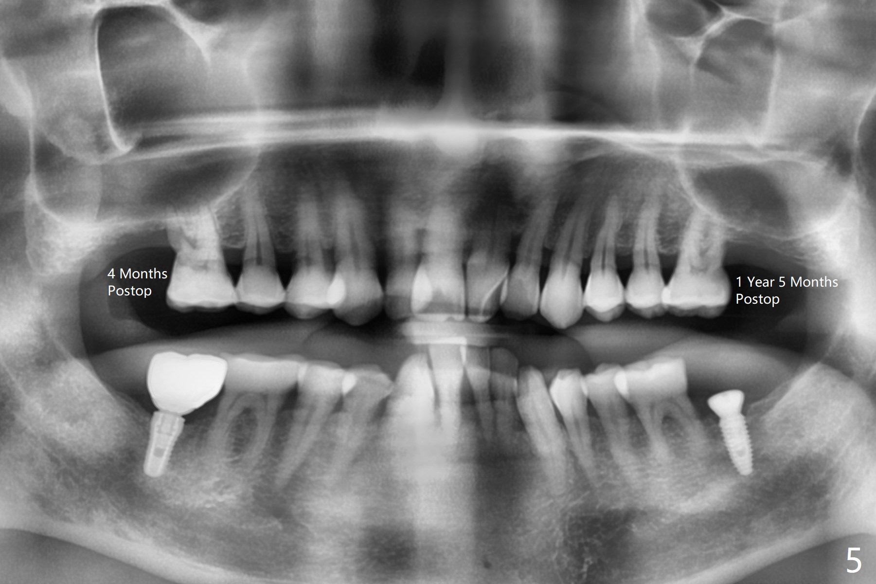
50岁男,二型糖尿病,对常用糖尿病药物无效,使用胰岛素也必须提高剂量,总之控制不好。总共种植四个,两个延期没问题,但是两个即刻均失败,似乎容易发炎,包括右上7(图一:* (螺纹暴露)),颊侧牙龈退缩(图二),牙冠取出后显示植体和基台偏腭侧(图三:P),其实植体没有整合,不费劲旋出植体,清除肉芽组织后,植入粘性骨粉(图四:*),覆盖PRF膜,GEM Cap,应用牙周胶水固定,然后间隙维持器,牙周敷料固位。右上7和左上7植牙取出后4个月和一年5个月骨质高度很低(图五)。右上7大约1.8毫米(图六)。准备植入5x7毫米植体(图七)。使用1毫米stopper钻头,然后Magic Lifter和PRF。术前口服Z Pack,术后Medrol Dose Pack。
Return to
No
Caries
#15,
31
系统性疾病
Xin Wei,
DDS, PhD, MS 1st edition 12/04/2020, last revision
04/11/2021