![]() |
![]() |
| 图一 #8 #9 | 图二 |
![]() |
|
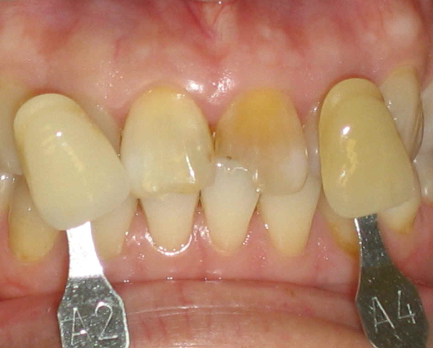
| 图三 | 图四 |
![]() |
|
| 图五 | 图六 |
| 图七 #8 | 图八 |
牙科知识人人须知(242)漂白的威力
本文使用正反面教材说明漂白的作用。有时我们的牙齿由于外伤或龋齿,长期没有好好治疗而变色,我们有两个选择:第一做牙冠(crown),第二漂白。后者治疗比较保守,保留比较多的牙体组织,接近生理状态,口腔卫生容易维持。我们有两种漂白方式:外漂白和内漂白(102期探讨漂白机制),内漂白适应于牙神经已经坏死,需要或者已经完成根管治疗的牙齿。漂白可以带回家做或者在诊所做。
第一例(图一至图六)是正面教材,两颗大门牙(中切牙,#8,#9)因为蛀牙,治疗不当而严重发黄发黑(图一),九号牙(#9)尤其明显,还缺一块。如果您仔细观察,您还可以发现#8牙深部还有一块颜色过分白,这是因为以前补牙材料选择不当,所以第一步我们在这两颗牙齿后面把以前补牙材料以及牙神经当中肮脏的东西去除,然后让病人回家做外漂白(全口牙)和内漂白(针对#8,#9)。两三个星期后大多数牙变白很多(图二),病人很满意,尤其家人,但是#9牙漂白效果不够好。我们准备在诊所做内外漂白,做之前之后在#8和#9牙旁边放两个比色板(图三,图四A2,A4),您不难发现诊所漂白后这两颗牙齿颜色进一步改善。诊所内外漂白:医生在将要漂白的牙齿边缘放置一种绝缘材料(图五,淡蓝色),防止漂白药流到牙龈造成牙龈也漂白发白(234期图七),后者伴有轻度烧灼感,不过第二天就好了。接着医生在牙齿外面和内侧放置漂白药物(图五,深蓝色),然后用特殊灯照射漂白材料,加速漂白进展,经过几轮处理我们达到了进一步漂白目的(图四)。漂白最后冲刺便是补牙,我们在牙后面选用最白的补牙材料,把黄色淡化了(图六),而在牙齿表面选择比牙齿稍微白的补牙材料,以免反差太明显。
总之,经过三步骤治疗(回家漂白,诊所漂白,以及补牙),牙齿颜色改善许多(图一与图六相比)。根据我们临床经验,每一步都重要,有的人懒惰,不愿意自己动手回家做漂白,只在诊所做漂白,其效果就比较差。大多数病人经过回家漂白已经达到目的(见234期)。如果回家漂白效果没达到目的,我们还有补救方法(诊所漂白)。诊所漂白虽然浓度高,用特殊灯照射,但是时间短,效果就是不如回家漂白好。
有的人不在乎牙齿变色,做完根管治疗后(图七#8牙,本文反面教材),不接受任何漂白,只要补牙,尽管我们用上面介绍的同样补牙方法,您可以看出美观上似乎没有任何改进(图八),挺让医生失望。为了改善门面,以后我们必须做好几个牙冠,但是效果可能还不好,因为牙齿里面深颜色会从全陶瓷牙冠透出来,就好像在稍微黄色牙齿后面用白色补牙材料能改善牙齿颜色似(比较图四图六),作用正好相反。234期显示四个漂白成功病例,102期探讨漂白机制,其他漂白文章包括漂白(6),重谈牙齿漂白(81),牙齿漂白注意事项(82)。
魏心牙科博士DDS, PhD, MS 初稿12/2/2008,最后一次修改03/21/2010