牙科知識人人須知 (八)牙齿美容
上一期我们谈论陶瓷牙面,它是牙齿美容一个重要的部分。我们中国人不敢追求外表美,怕人说臭美。我们来美求生存不容易,语言欠缺,思想更难跟上老美,如果再不注意外表,您挺难找到理想的工作。我们身体又不如老墨,总不能一辈子干重活。老美病人會說他們沒有漂亮牙齒而有自卑感(No Self-esteem),儅牙齒經過治療改善后,他們欣喜若狂,有時不知所措,有一个老美说”Dr. Wei, I had such beautiful teeth when I was young.”
我们不能期待每个中国人都象好莱坞明星那样漂亮,其实牙齿美容并不难,最简单的就是每天刷牙用牙线,少吃Junk Food包括甜食,如果牙龈还是红肿有口臭,到牙医诊所检查洗牙。前牙有洞(龉齿蛀牙)早点补掉。前牙掉了,作一个便宜活动义齿总比缅嘴笑好。因牙齿不好而长期不敢开口笑,对心里影响不好。即使牙齿需要大修整,只要计划好,大多数人还是付得起。做牙齿美容的老美并不个个是大富翁,他们也要省钱,做好用钱计划。
| 术前
|
![]() |
![]() |
|
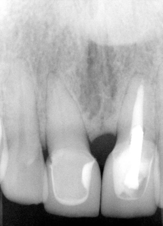
| 图一 #8 #9 | 图二 | 图三 | |
| 术后
|
![]() |
![]() |
这一例我们选用陶瓷贴面修复#8牙,陶瓷牙冠修复#9牙,这是因为8号牙缺损太大些,补牙有一定困难,陶瓷贴面更漂亮,不容易变色。九号牙缺损更大,而且做过根管治疗(图二),需要牙冠保护,它不能做内漂白,是因为这颗牙齿当中有一个金属桩,后者很难去除,也就是说我们没有空间作内漂白(102期,234期,242期)。结果术后外观不错(图四),术后X-光片(图五)显示陶瓷贴面和牙冠与牙齿结合密切。 |
| 图四 | 图五 |
为了做好陶瓷牙面达到理想的牙齿美容效果,您还需要做好一些口腔准备工作,例如洗牙补牙漂白牙齿。牙医不仅需要为您照 數字化Digital相片(圖一)和X光(圖二),而且取模,倒牙模,然后把牙模送掉实验室,让技术员用白色蜡烛重新排列牙齿(圖三)。一般来说,当您看见这精致的工作(漂亮的牙齿模型),您会动心的。那些牙齿不好的人做完牙齿美容术后对牙齿格外注意保护,甚至戒了烟,可见牙齿美容对身心健康大有好处。
四环素牙患者有时需要作上下多个陶瓷牙面,才能有效地改善牙齿美容(245期)。美国车祸外伤多,多个牙齿被破坏,作多个陶瓷牙面或牙冠是应该的。严重牙齿磨损(牙科知识第三期讨论过)患者全口牙太短,可能每个牙需要作牙冠(Crown),这时可不是主要为了美观,而是为了治病,因为牙齿太短,可能磨穿牙髓,疼痛无比。当你看见朋友同事有多个陶瓷牙面或全口牙冠时,但愿不要用异样的眼睛看待人,认为他们发了疯(Crazy),其实你还应该有同情心。下一期我们讨论牙科检查和洗牙。
魏心牙科博士Xin Wei, DDS, PhD, MS,最后一次修改02/14/2010