Immediate Implant Without Drill

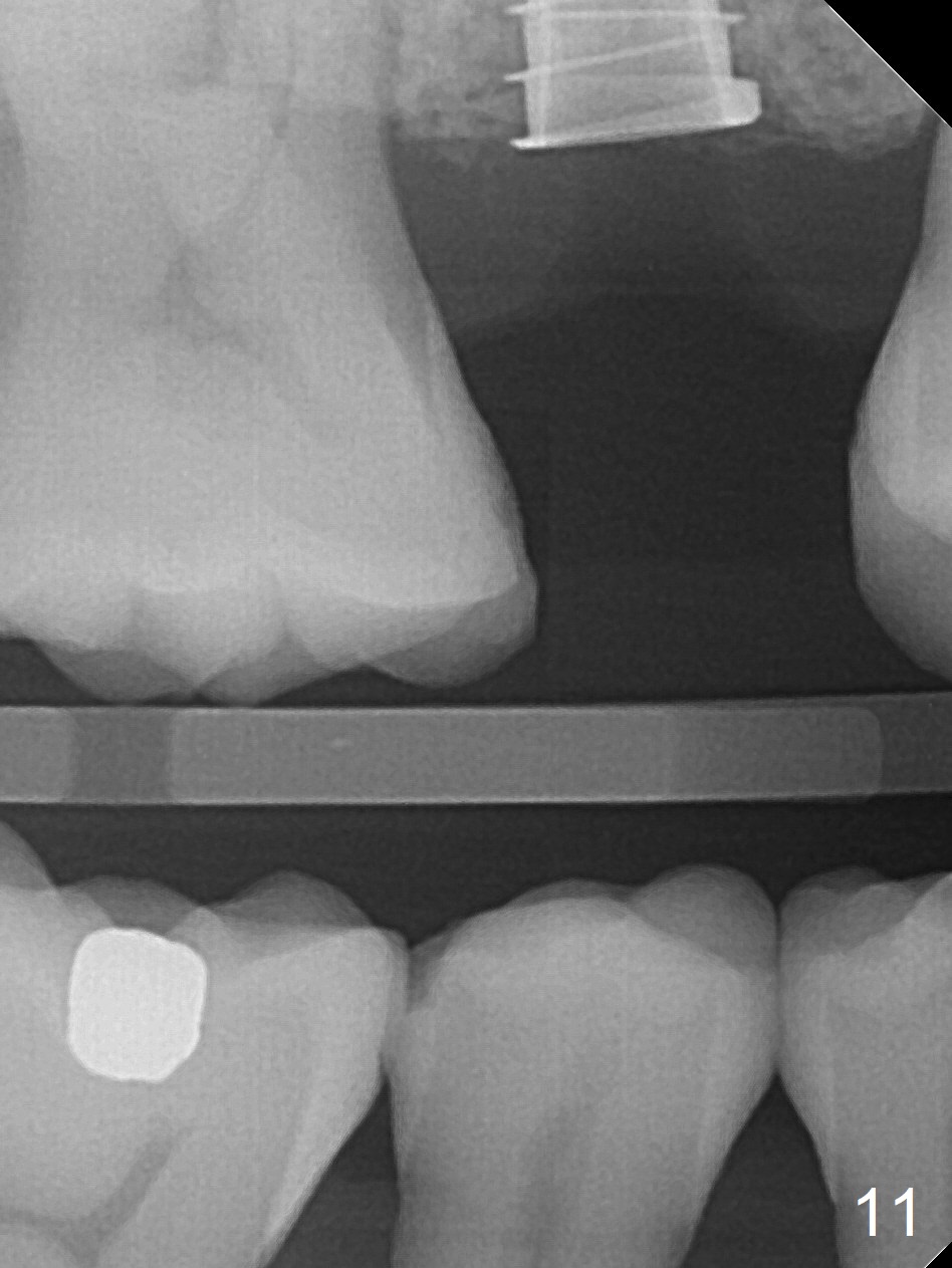
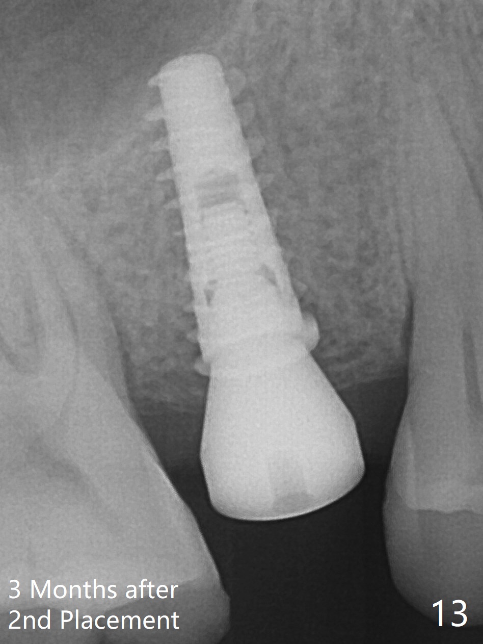
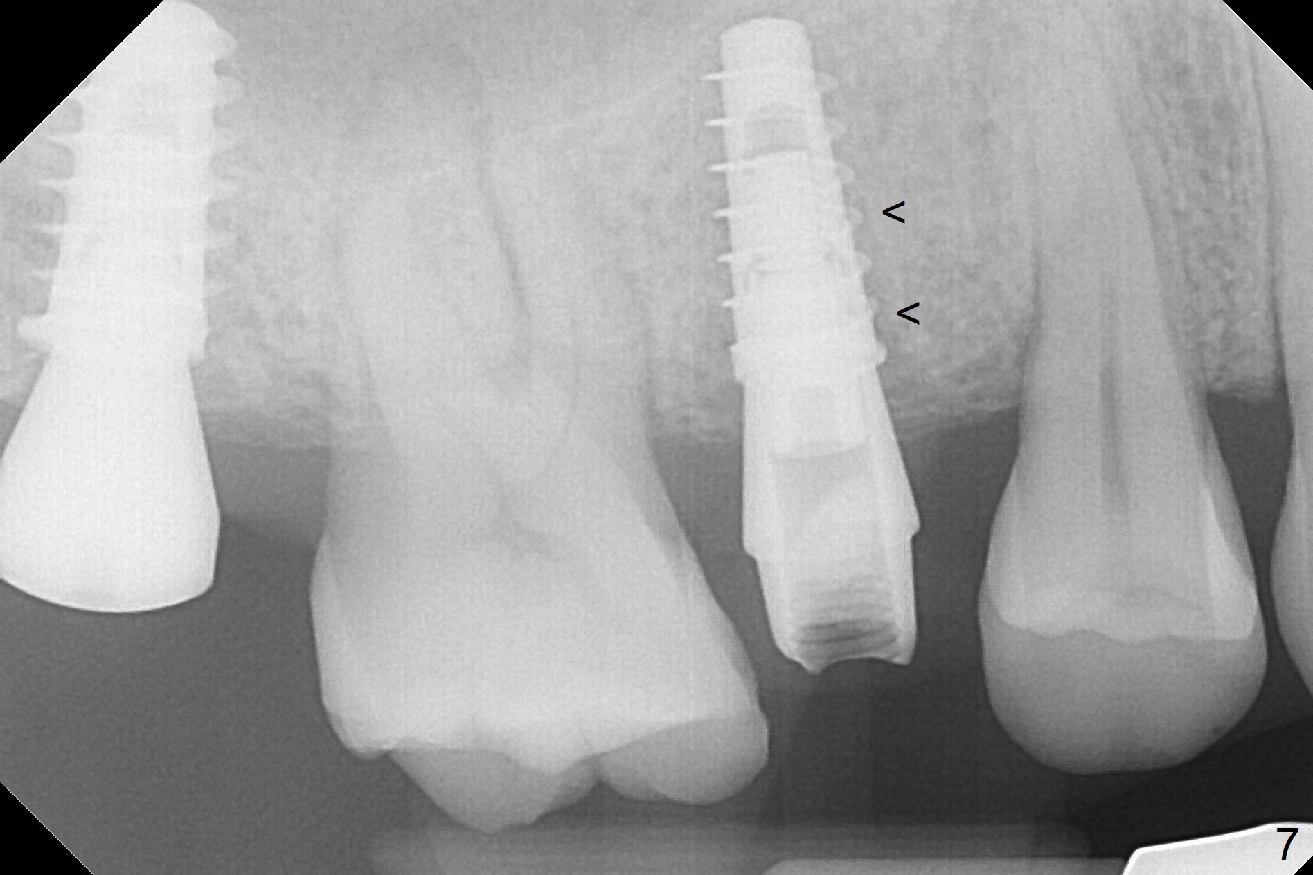
A 47-year-old man returns emergently with subgingival fracture of the lingual (L) cusp of the tooth #4 (Fig.1-3).  After extraction (no bony defect) without drilling, a 4x11 mm dummy implant is placed as a tap drill with satisfactory stability (Fig.4,5).  To get subcrestal placement, a shorter (4x9 mm) implant is inserted with insertion torque of < 35 Ncm.  In retrospect, a larger implant (4.5 mm) would be better in term of primary stability.  After allograft placement into the buccal and lingual gaps, a 4.5x4(4) mm abutment is placed for an immediate provisional.  There is a peri-implant gap 7 months postop (Fig.7<, as compared to the implant at #2 (6 months postop)) .  When the loose abutment is being retightened, the patient feels pain, although the gingiva appears healthy (Fig.8).  A larger implant should have been used; the abutment should have been removed.  The implant dislodges while the abutment is untightened 8 months postop.  The osteotomy is found intact.  A 4.5x11 mm dummy implant is placed 2 mm subgingival with 20 Ncm (Fig.9).  When a 4.5x11 mm definitive implant is placed 3 mm subgingival (Fig.10,11), torque reaches 50 Ncm.  A 5.5x3 mm healing abutment is placed.  Three months postop, the implant is stable (Fig.12,13) and impression is taken.

Return to Upper Premolar Immediate Implant, IBS, No Antibiotic, #2, #2 Placement, 1st Year Course 1 2

Xin Wei, DDS, PhD, MS 1st edition 11/26/2016, last revision 01/19/2018