![]() |
![]() |
![]() |
Constant Control of Osteotomy Position by Using Implant Spacer
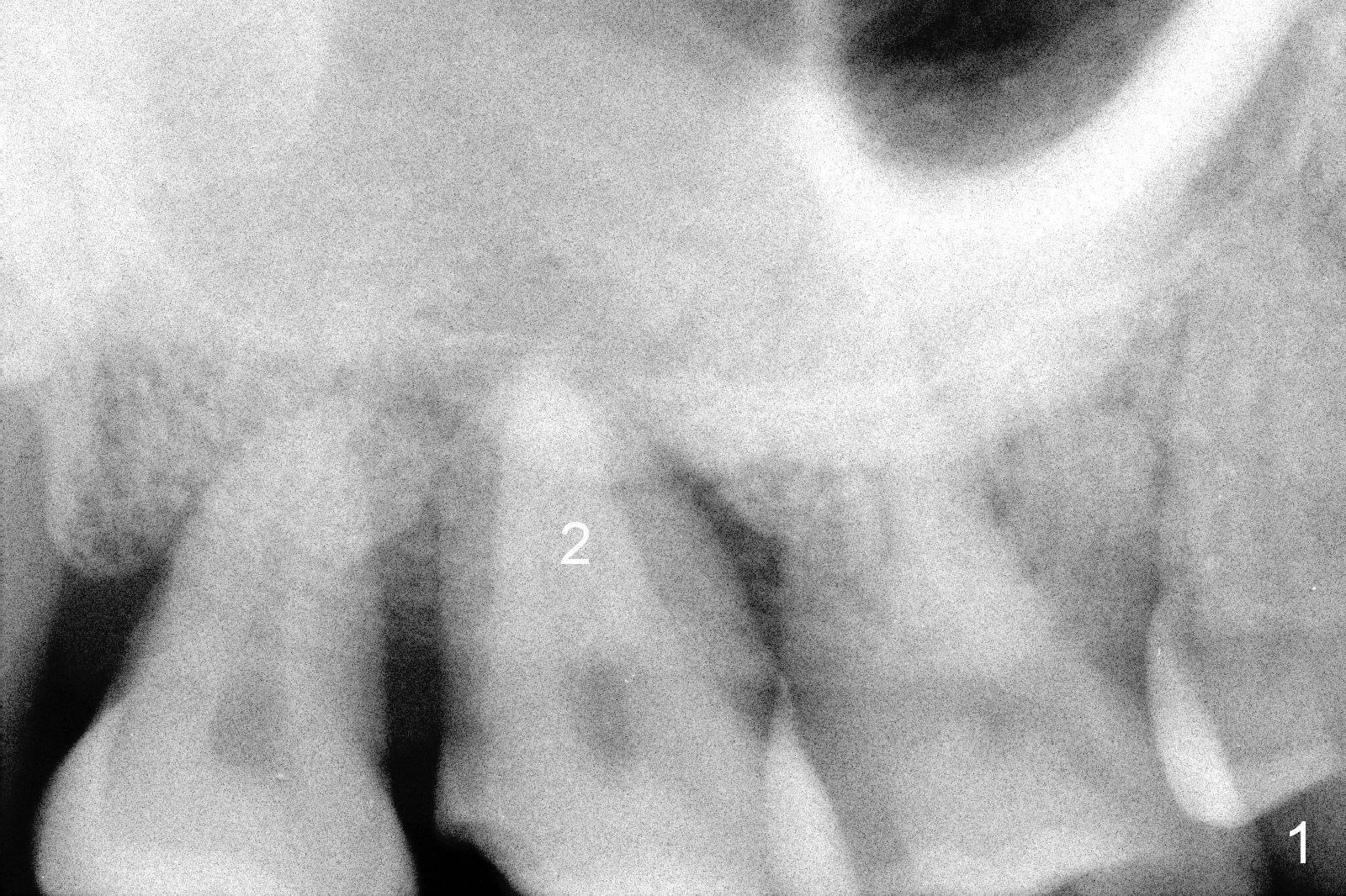
There is a tendency to drift osteotomy distally at the upper 2nd molar area when the 3rd molar is missing. Without a surgical stent, an implant spacer should be used constantly from the beginning (pilot drill) to the end (implant placement, Fig.3) for the site of #2 of the 47-year-old man (Fig.2). The tooth was extracted because of periodontitis and bruxism (Fig.1 (taken 5 years earlier)). Please measure the diameter of the handle of every instrument, including drill, expander and implant driver in advance (Fig.3 red lines). The center of the handle should be 5 mm from the distal surface of the 1st molar. If the diameter of the handle is 2 mm, the implant spacer is set to be 4 mm (Fig.3). For convenience of insertion (the edge of the spacer is wider than the center), use the 3.5 mm one. Take PA as early as possible and change position with a Lindamann bur accordingly. Prepare Magic Sinus Kit and separate IBS implant driver (in a pouch, not from a cassette).
Return to
Upper
Molar Immediate Implant
Xin Wei, DDS, PhD, MS 1st edition 12/11/2016, last revision 01/09/2017