![]() |
![]() |
![]() |
![]() |
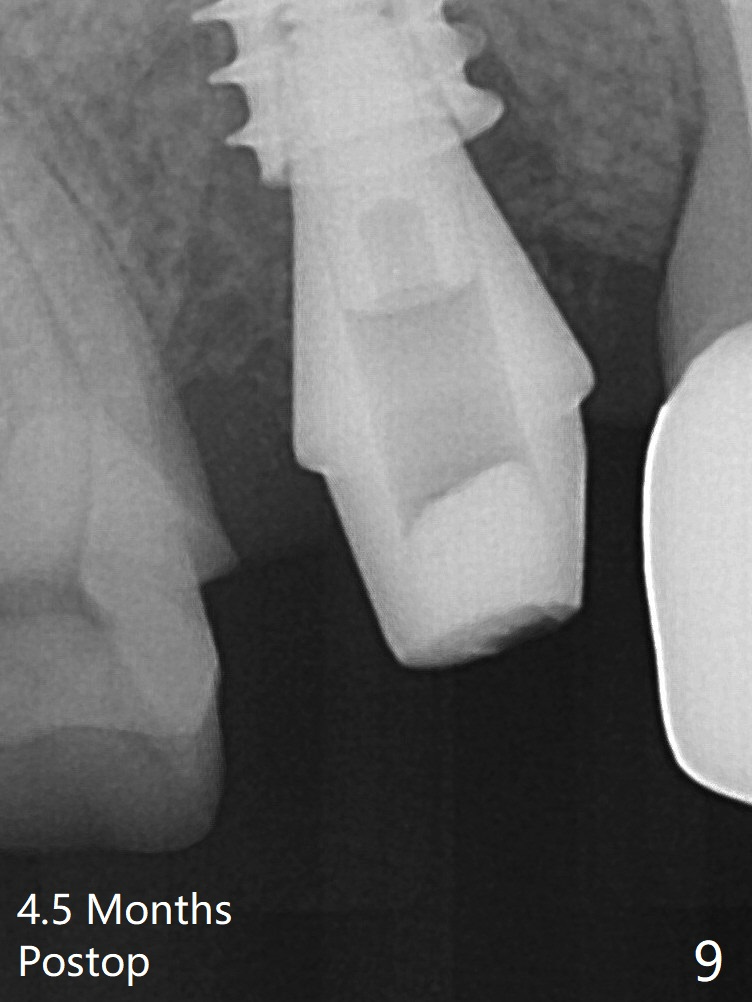
To reduce the gap and periimplantitis, a 5x11 mm IBS implant is placed with insertion torque > 50 Ncm after further osteotomy using Magic Drills (Fig.4). Following placement of 5.5x4(4) mm abutment (A), a splinted provisional is fabricated at #3 and 4. The provisional is stable 3 months postop (Fig.7). Bone graft appears to remain between the implant fins (arrows). The bone density of the bone graft between the implant fins increases 4.5 months postop (Fig.9). The bone density appears to reach the normal value (same as that of the nearby bone) 1 year 3 months post cementation (Fig.11).
Return to
Large Implant
Last
Next
Xin Wei, DDS, PhD, MS 1st edition 03/23/2017, last revision 11/25/2018