![]() |
![]() |
![]() |
|||
![]() |
![]() |
![]() |
![]() |
||
![]() |
![]() |
![]() |
![]() |
||
Large Defect Large Implant
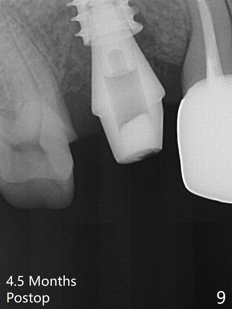
When the tooth #4 with vertical root fracture is extracted, the socket is large, approximately 6x10x10 mm (Fig.1 (mesiodistal x buccopalatal width x depth)). Osteotomy is established in the middle of the socket with 2 mm initial drill for 7 mm, 2.8 and 3.6 mm rounds drills (from DIO Sinus Master Kit) for < 7 mm, and 3.0 and 3.8 mm Magic Expanders. A 4x11 mm dummy implant is placed with insertion torque of 30 Ncm (Fig.2,3 (^: sinus floor)). There is a gap between the socket wall and the implant (*). To reduce the gap and periimplantitis, a 5x11 mm IBS implant is placed with insertion torque > 50 Ncm after further osteotomy using Magic Drills (Fig.4,5). Following placement of 5.5x4(4) mm abutment (A) and bone graft (data not shown), a splinted provisional is fabricated at #3 and 4. The provisional is stable 3 months postop (Fig.6,7). The peri-implant gaps (Fig.4,5) seem to disappear (Fig.6) with the help of bone graft. Bone graft appears to remain between the implant fins (Fig.7 arrows). Impression is taken 4.5 months postop (Fig.8,9). The abutment dislodges 4 months post cementation. After retightening, there is clearance for shim after use of 2 layers of thick articulating paper. Is the abutment screw too short? Or Titanium V is too hard for welding? The abutment/crown dislodges again 1 year 3 month post cementation; it appears that the fact that the implant is placed deep contributes to abutment screw loosening (Fig.10,11). An abutment screw will be buried inside the implant well 10 days post initial retightening.
Return to
Upper Premolar Immediate Implant
Xin Wei, DDS, PhD, MS 1st edition 03/23/2017, last revision 12/02/2018