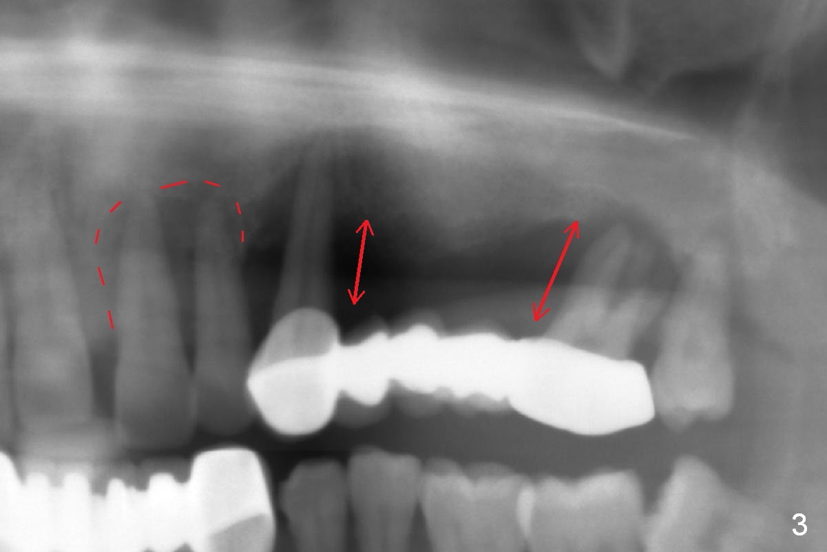
In addition to the large radiolucency around the roots of #9 and 10 (Fig.3 red dashed line), the gingiva at #11 and 15 is excessively thick (red arrows).

Long Cuff Fin Course 2 CMC

Xin Wei, DDS, PhD, MS 1st edition 01/29/2017, last revision 03/01/2019