Abutment with 5 mm or longer Cuff for Periodontal Patients

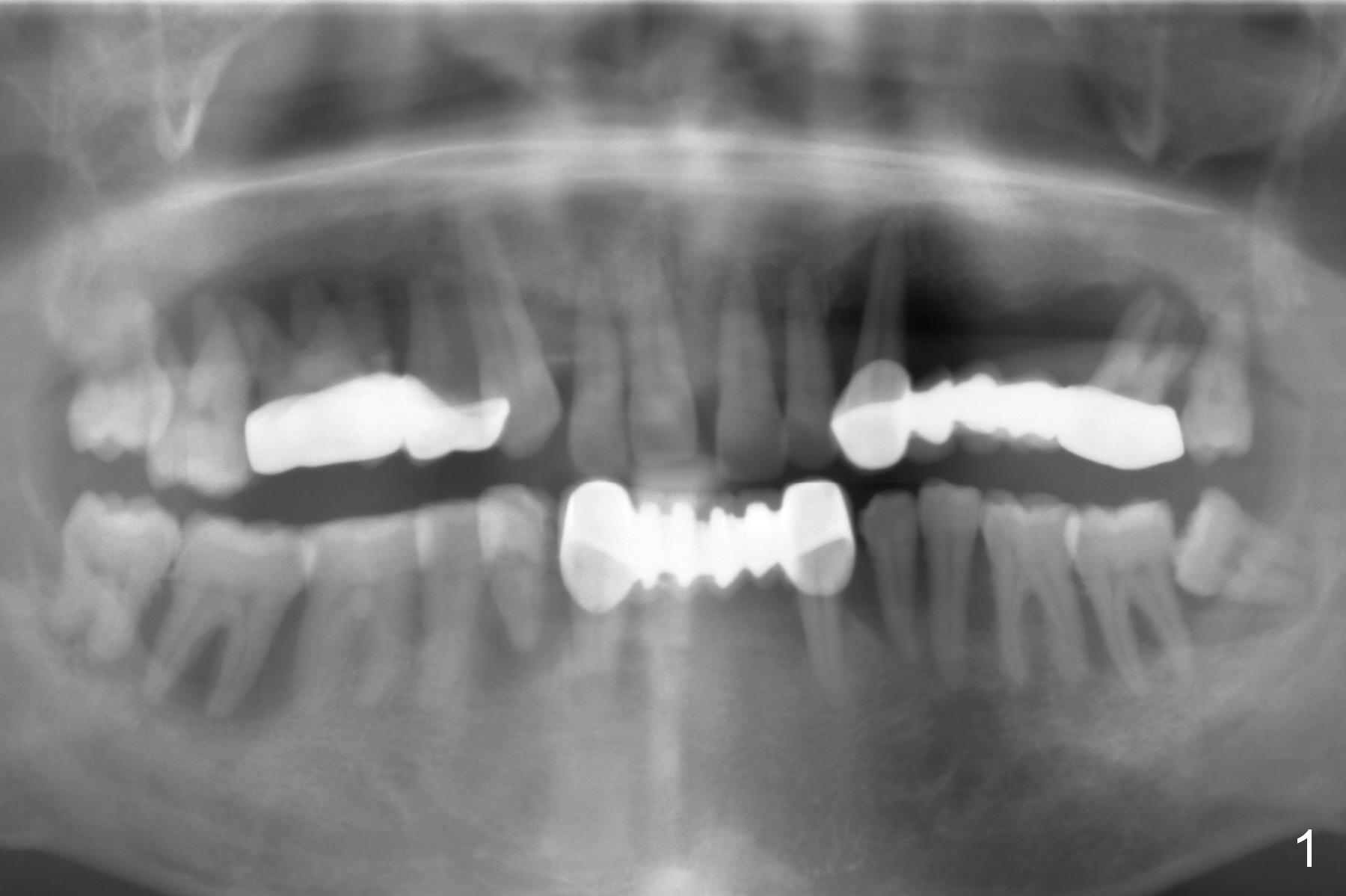
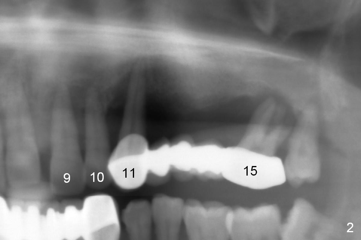
A 45-year-old man has advanced periodontitis and bruxism (sufficient remaining bone height, Fig.1).  Full mouth restoration will be done by quadrant with preservation of a few of relatively healthy teeth.  The 1st quadrant to be treated will be the upper left (Fig.2).  The teeth #9-11 and 15 will be extracted (Metronidazole) with immediate implants.  A delayed implant will be added at #13 for #11-15 bridge (Fig.4).  In addition to the large radiolucency around the roots of #9 and 10 (Fig.3 red dashed line), the gingiva at #11 and 15 is excessively thick (red arrows).  For example at #11, a long implant has to be placed a little more outside the bone (Fig.4 green area), since the longest cuff of the abutment (red area) is 5 mm for UF implant system.  The longer the cuff, the less amount of the implant will be outside the bone with less chance of periimplantitis.  When the coronal implant threads are exposed, a large amount of bone graft has to be placed (Fig.4 yellow circles).

Take photos and upper Alginate impression when the patient returns for the 1st treatment.  Take lower Alginate impression immediately before the 1st appointment for the lower arch.  The purpose of this practice is to reduce the time of losing the loose bridges.  Pour for model immediately.  Soak the model in water when it becomes cold (setting).  Place the model in the oven and press Toast button when it is not so wet by shaking.  Make a stent for provisional fabrication. 

Return to Upper Arch Immediate Implant, Prevent Molar Periimplantitis (Protocols, Table), IBS, CT UL Wax up 2 Xin Wei, DDS, PhD, MS 1st edition 01/29/2017, last revision 03/02/2019