Buccal Defect, Lingual Placement

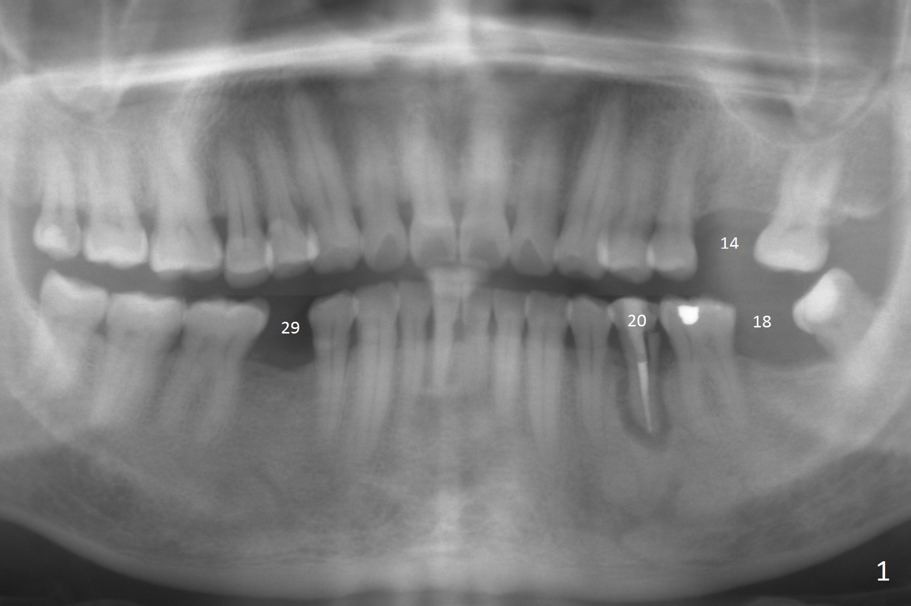
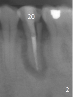
A 53-year-old man (probably bruxer, long roots) has 3 missing teeth (Fig.1 #14,18,29) and 1 fractured tooth (Fig.2 #20).  The fractue is associated with deep buccal pockets.  The buccal plate is most likely defective.  After extraction (Metronidazole), start osteotomy lingual and mesial (Fig.3 red long arrow) to reduce damage to the Mental Loop (Fig.4 red dashed line).  Damage to the Incisive Canal (yellow dashed line, the continuum of the Inferior Alveolar Canal after giving off the Mental Loop) is less significant.  Since the defect is long, use the longest implant and place it deep.  A long abutment (7 mm, green) with 5 mm cuff (pink) is required.  To have sufficient buccal gap for bone graft and probably membrane, the smallest two-piece implant is necessary (3.8 mm).

Return to Lower Premolar Immediate Implant, IBS Xin Wei, DDS, PhD, MS 1st edition 03/29/2017, last revision 09/08/2018