Take Pan Early to Determine Osteotomy Depth

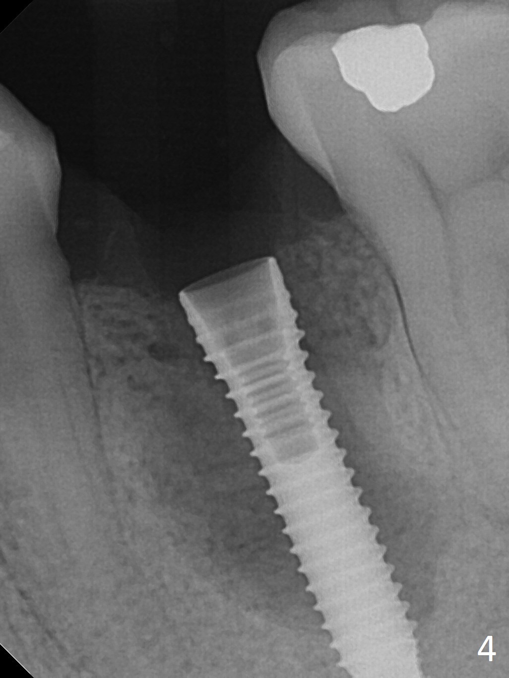
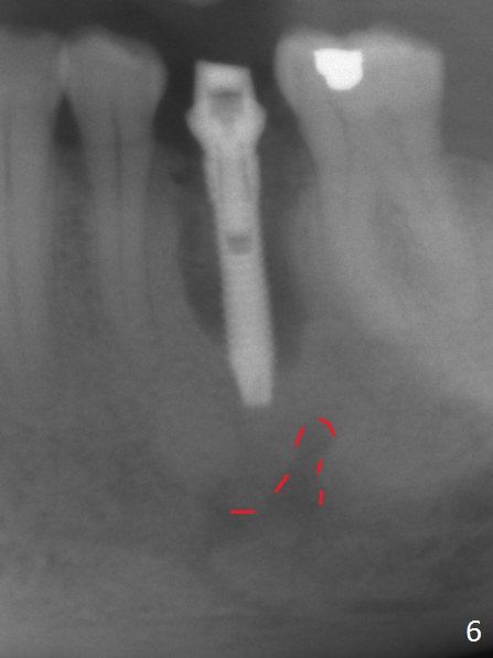
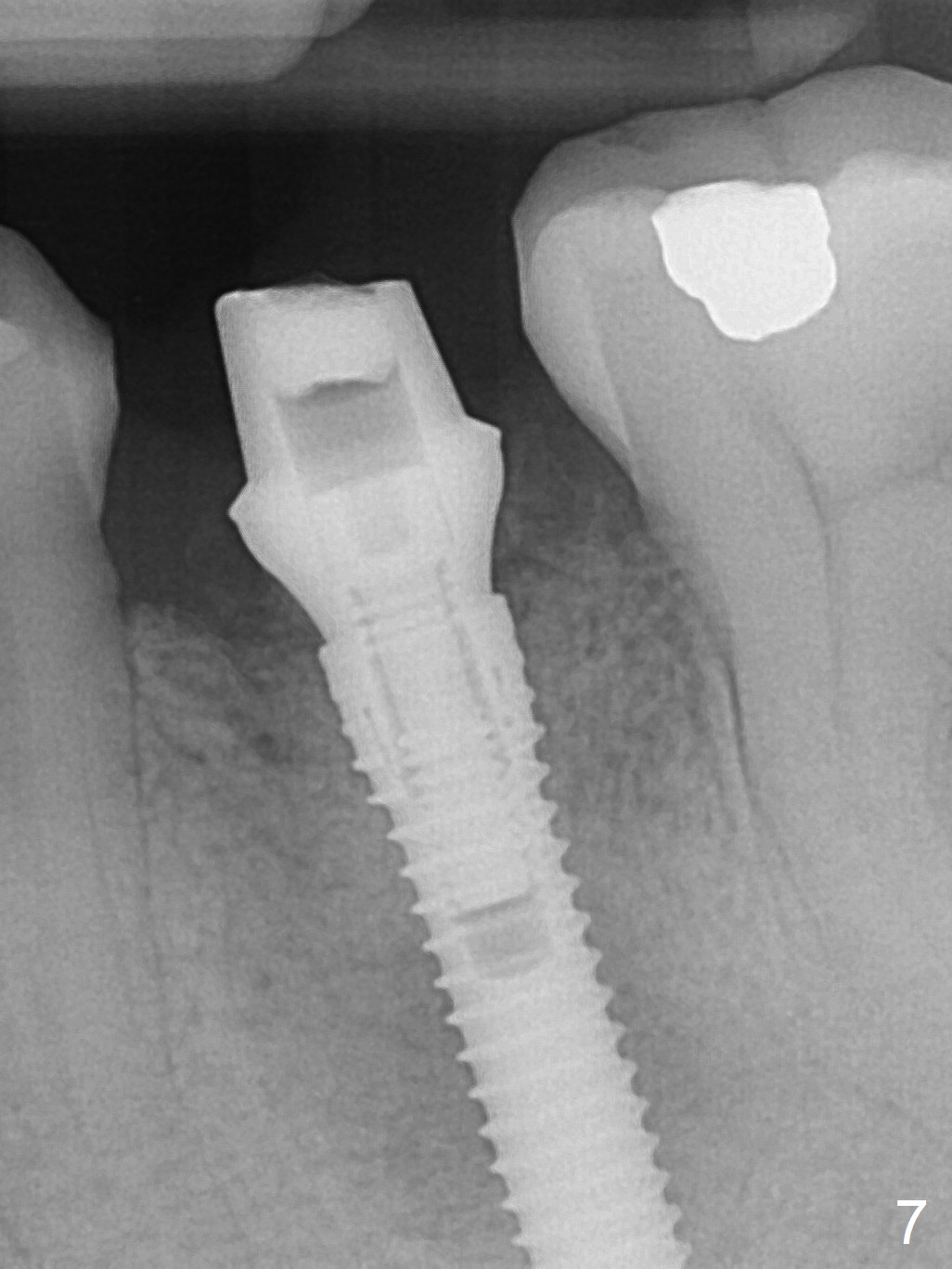
Extraction of the lower left 2nd premolar with vertical fracture (Fig.1,2 >) is easy because of peri-radicular radiolucency.  The apical end of the osteotomy is not shown with a 2 mm pilot drill (Fig.3) or a 3.8x18 mm implant (Fig.4) in place.  It appears that the implant is not placed deep enough.  Following 3-4 more turns of the implant and placement of a 5.5x4(3) mm abutment (Fig.5 A), allograft is placed (*).  A postop panoramic X-ray is taken (Fig.6); the osteotomy could have been deepened to reduce the possibility of periimplantitis.  Retrospectively, the panoramic X-ray should be taken after use of the pilot drill. The bone around the implant appears to have regenerated 4 months postop (Fig.7,8).  Bone density appears to continue increasing 9 months postop (i.e., 4.5 months post cementation, Fig.9).  Bone loss is minimal 2 years post cementation (Fig.10).

Return to Lower Premolar Immediate Implant, IBS, 14, 29, 18, Short Delayed Implant

Xin Wei, DDS, PhD, MS 1st edition 05/08/2017, last revision 09/04/2019