![]() |
![]() |
||
![]() |
![]() |
![]() |
|
![]() |
![]() |
![]() |
|
#29 and Possibly #30 Implantation
A 71-year-old man loses the implant at #29 five years post placement (Fig.1; 3 years post panoramic X-ray). The attached gingiva is nonexistent at #29 and 30. Gingival graft is necessary. The implant at #29 is placed as mesial (Fig.2) and lingual (Fig.5) as possible. If the implant at #30 is salvageable, place bone graft around the exposed implant threads (Fig.4,5 white circles). Cut a piece of 6-month collagen membrane, use a 4 mm tissue punch to punch 2 holes in the membrane (Fig.6 red circles) and cut open the hole for #30 lingually. Cover the membrane over the graft (Fig.5 red line), followed by PRF membranes (draw 5-6 tubes of blood).
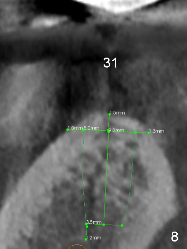
Since the buccal plate is lower at #30 (Fig.7), place a new implant as lingual as possible if the existing one is deemed nonsalvageable. To distribute occlusal load and increase longevity of the implants at #29 and 30, an implant should be placed at the same time or later (Fig.2,8). Approximately 1.5 years later (after #19 implant), the patient returns with intention to restore missing teeth #29-31. The implant at #30 has been lost. CT will be taken for guided surgery. Also take photos to show whether there is lack of the keratinized gingiva at the ridge, as it is related to guided surgery. If the tough gingiva is missing, incision instead of tissue punch should be done prior to osteotomy.
Return to
Lower Premolar Immediate
Implant,
IBS,
Armaments
Xin Wei, DDS, PhD, MS 1st edition 11/06/2016, last revision 07/04/2018