![]() |
![]() |
![]() |
![]() |
![]() |
![]() |
![]() |
Regional Ridge Trimming
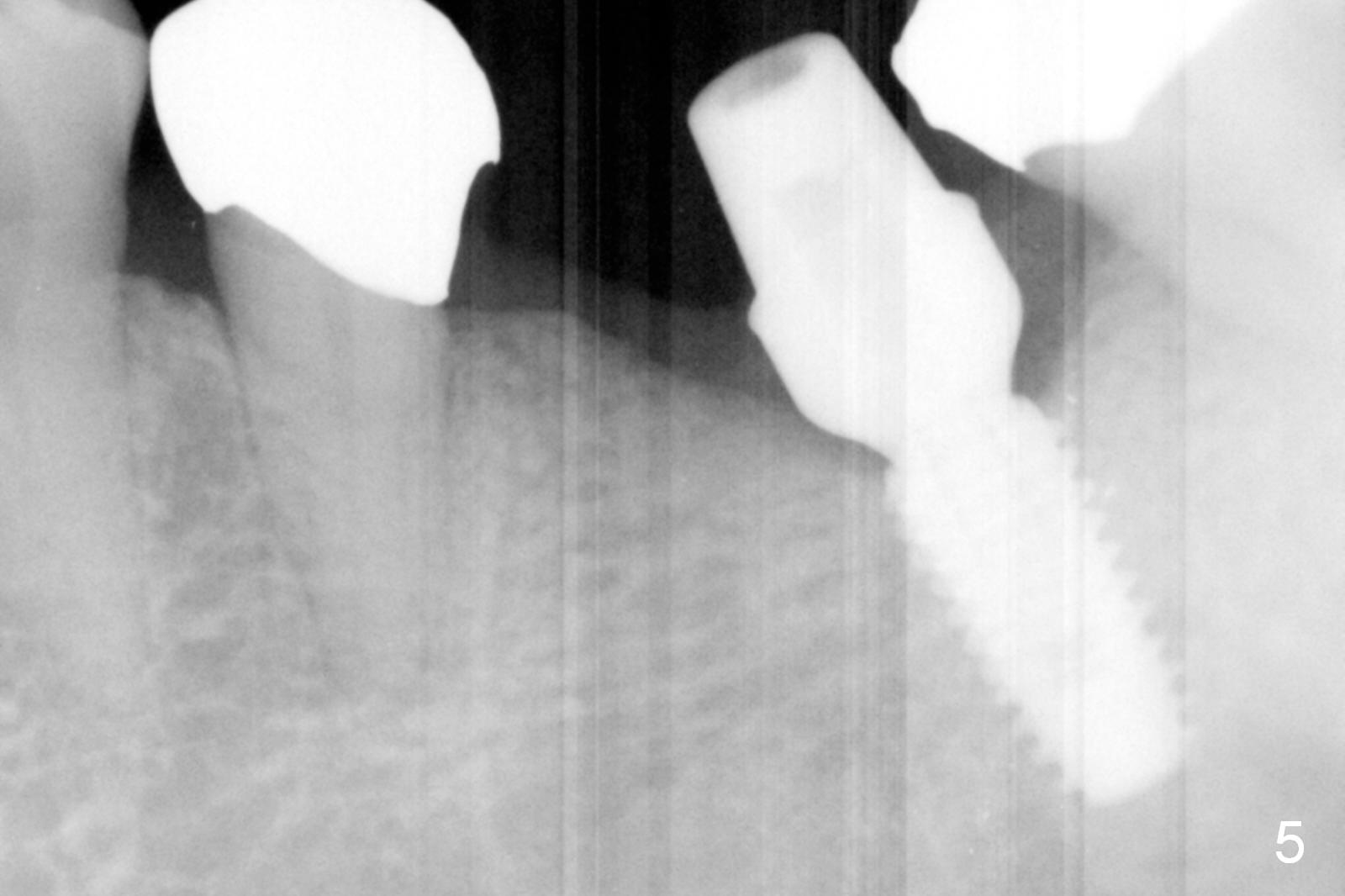
The narrow ridge top is trimmed until the buccolingual width is 7-8 mm; osteotomy starts in the flattened ridge (Fig.1, 2). A 5x10 mm implant is being placed (Fig.3). A cemented abutment (6.5x5.5(5) mm) is placed after adjusting the mesial and distal walls of the trimmed ridge (Fig.4). The patient returns for restoration 6 months postop. The coronal opening of the osteotomy becomes flared (Fig.5). The position and trajectory of the osteotomy should have been changed as early as possible (Fig.6, more or less parallel to the premolar) to avoid necessity of changing the cemented abutment (Fig.7 (* keratinized gingiva)) to an angled one (5.5 x15 degree A (4) mm).
Return to Lower Molar Immediate Implant, #29-31
Xin Wei, DDS, PhD, MS 1st edition 04/21/2016, last revision 07/04/2018