![]() |
![]() |
![]() |
||
![]() |
![]() |
![]() |
![]() |
|
![]() |
![]() |
![]() |
||
From Removable to Fixed Prosthesis
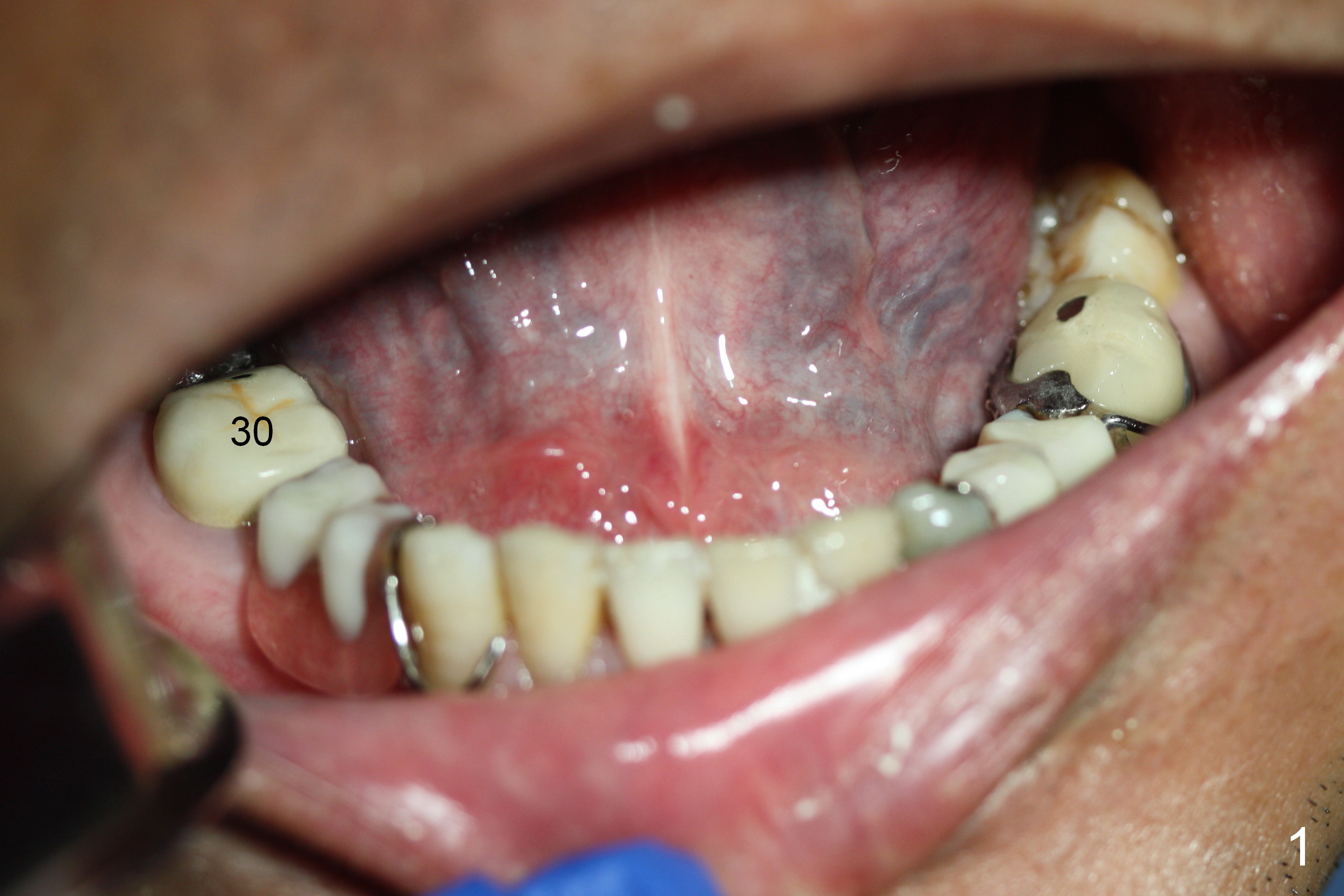
The patient has lost several teeth, which are replaced by removable partial dentures. He wants to have implants in the lower right first because of loss of a buccal clasp over the tooth #30 (Fig.1). When the lower partial is removed, a narrow soft tissue band is visible in the edentulous area. The hard tissue ridge is approximately 3 and 5 mm buccolingually at the sites of #28 and 29, respectively (Fig.3 after initial osteotomy). To place 2 adjoining implants at the same level, the treatment plan is modified: a 3 mm 1-piece implant will be placed at #28, while the plan at #29 remains the same: a 4.5 mm 2-piece implant.
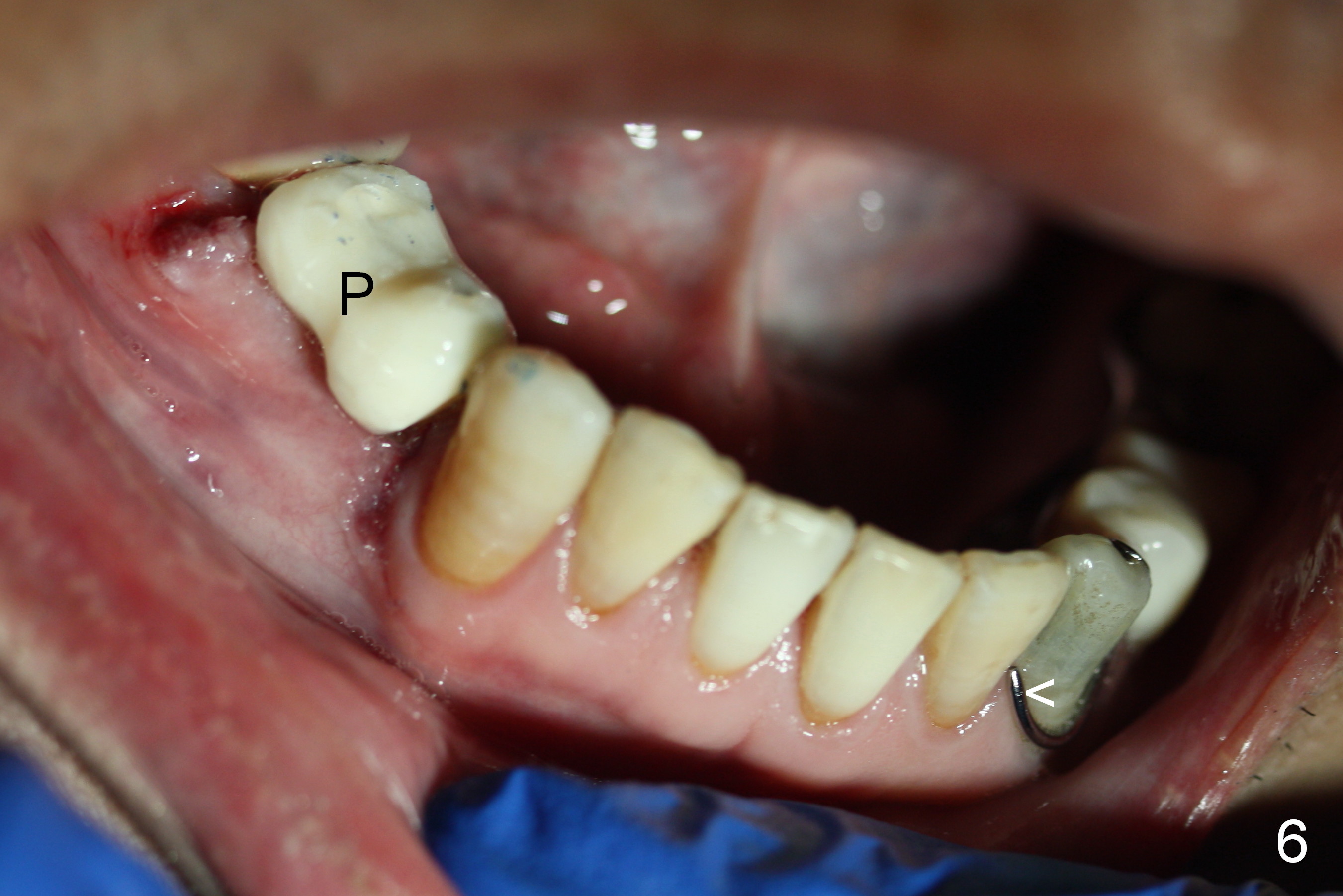
The 1st intraop PA taken after initial osteotomy at the depth of 12 mm shows that the mental loop (Fig.4 red dashed line) appears to be more superior than what is expected from CBCT study; while the apical end of the osteotomy at #28 is going to be moved mesially (>), that at #29 distally (<). Both implants (3x14 and 4.5x12 mm) are placed with insertion torque 56 Ncm (Fig.5). After placement of a 5.8x4(2) mm abutment at #29, an immediate provisional is fabricated and cemented (Fig.6 P). The partial is modified and the left portion is seated (Fig.6 <). The patient is pleased with the change: from removable to fixed appliance. There is no paresthesia postop.
The perio dressing remains in place 1 week postop (Fig.7). After its removal, the wound is healing (Fig.8).
PA is taken 2.5 months postop (Fig.9). The definitive restorations are cemented 4 months postop. With placement of the implants and bone graft, the lingual tissue looks bulky (Fig.10 white arrowheads). Black arrowheads indicate that the ridge at #28 is narrower than that at #29, the anatomic base for 1-piece implant at #28. CT study reveals that the crest at the site of #20 appears to be narrower than that at #28. What is the treatment option?
Return to Lower
Bicuspid Immediate Implant,
Lower Arch Reconstruction,
Posterior Immediate Provisional
Xin Wei, DDS, PhD, MS 1st edition 07/20/2015, last revision 12/06/2015