![]() |
![]() |
|
![]() |
![]() |
![]() |
Another Way to Place Implant in Narrow Ridge
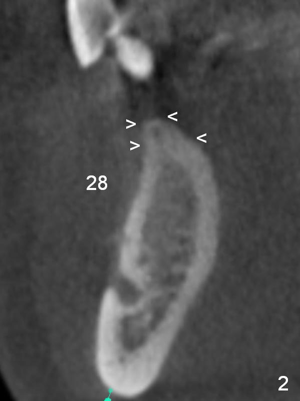
A 39-year-old man had an accident, which caused loss of several teeth 20 years ago. The patient (wearing removable partial dentures) decides to restore #28,29 with implants first (Fig.1 CBCT sagittal section). Coronal section at #28 shows narrow ridge coronally (Fig.2). To place an implant, the pointed ridge top has to be removed about 4.5 mm (Fig.3). Probably due to severe bone resorption post extraction, an angled abutment may be needed as much as 20 degree (Fig.4).
In contrast, the edentulous ridge at the site of #29 is not narrow (Fig.5). A longer implant can be placed (14 mm vs. 12 mm for #28). The patterns of bone resorption at the lower left premolars are quite similar or worse.
Prior to surgery, take photos of the lower partial denture with loss of clasps in the right posterior region. Take Alginate impression of the arches with (for stents) and without (for design) partials.
Return to Lower
Bicuspid Immediate Implant,
Lower Arch Reconstruction,
Posterior Immediate Provisional
Xin Wei, DDS, PhD, MS 1st edition 07/14/2015, last revision 12/06/2015