![]() |
![]() |
![]() |
![]() |
![]() |
![]() |
Demise and Rebirth of Upper Deciduous Canine
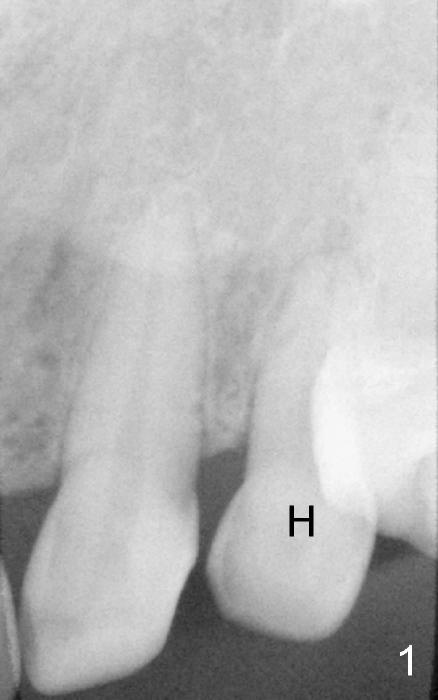
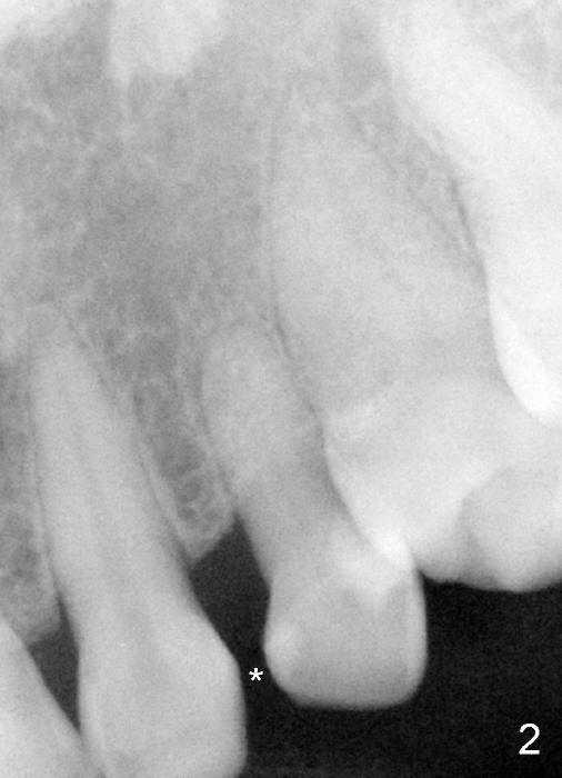
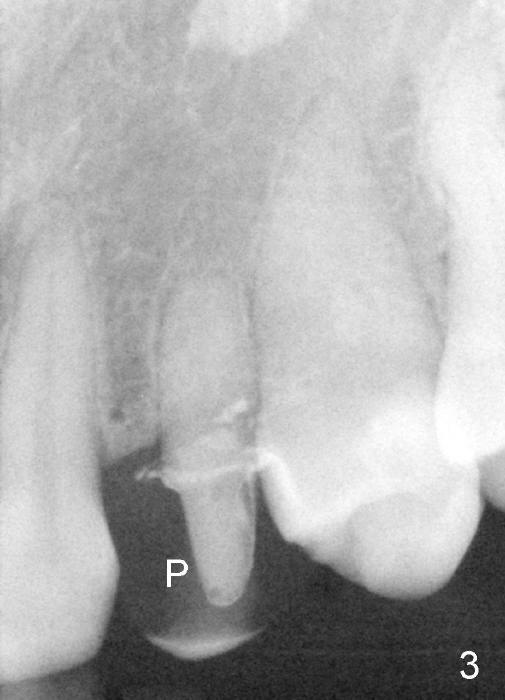
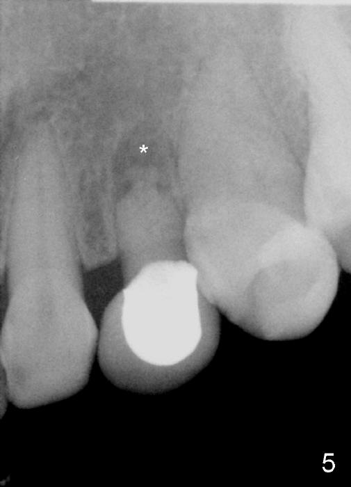
The upper left deciduous canine of a lady in her early forties looks functional 9 and 5 years ago (Fig.1,2). She wanted to close the diastema mesial to the deciduous tooth (Fig.2 *). The tooth was prepared for a provisional (Fig.3 P) and definitive restoration (Fig.4 C). The tooth becomes mobile 4 years post cementation (Fig.5).
To improve cosmetics over the upper right canine immediate implant, a bone-level implant will be used (Fig.6) and an immediate provisional will be fabricated using a temporary abutment. Once osteointegrated, a gold-coated or porcelain abutment will be placed, depending upon the position of implant placement.
Return to
Upper Canine Immediate
Implant
Right
Xin Wei, DDS, PhD, MS 1st edition 10/18/2014, last revision 02/03/2019