![]() |
![]() |
![]() |
![]() |
|
![]() |
![]() |
![]() |
![]() |
![]() |
Localized Use of Metronidazole or Clindamycin in Immediate Implant and Immediate Provisional (new)
It is our routine to place Clindamycin saturated gauze in the extraction socket for 3 times for a few minutes before osteotomy for immediate implant. It appears that pre-extraction infection does not resolve completely in some cases (1,2). It is reported that localized use of Metronidazole (Anaerobic antibiotic) reduces post sinus graft infection. We are going to test whether this antibiotic can reduce post immediate implant infection, as compared to Clindamycin. Cases are allotted into each category in time sequence. For example, the 1st control case is the one placed last Monday (WS); the 1st test is the present case (YJ). The 3rd case will falls into the 2nd case of control group, whereas the 4th will be the 2nd of the text group. The study will include 20 cases in each group. Infection control is evaluated 1 week postop, 1-2 times before restoration and 6 months post cementation. Evaluation includes vision (whether swelling has been decreased) and palpation (press the fistula to determine whether it has been reduced or disappeared). In fact, an emergency case shifts the distribution of cases as shown below.
A Metronidazole tablet (.2 g) will be ground with a bone grinder or mortar & pestle and dissolved in 2% Xylocaine/1:50,000 Epinephrine. Three pieces of gauze for a socket will be soaked in the suspension. Harvested bone will be saved in the dappen dish for antibiotic preparation.
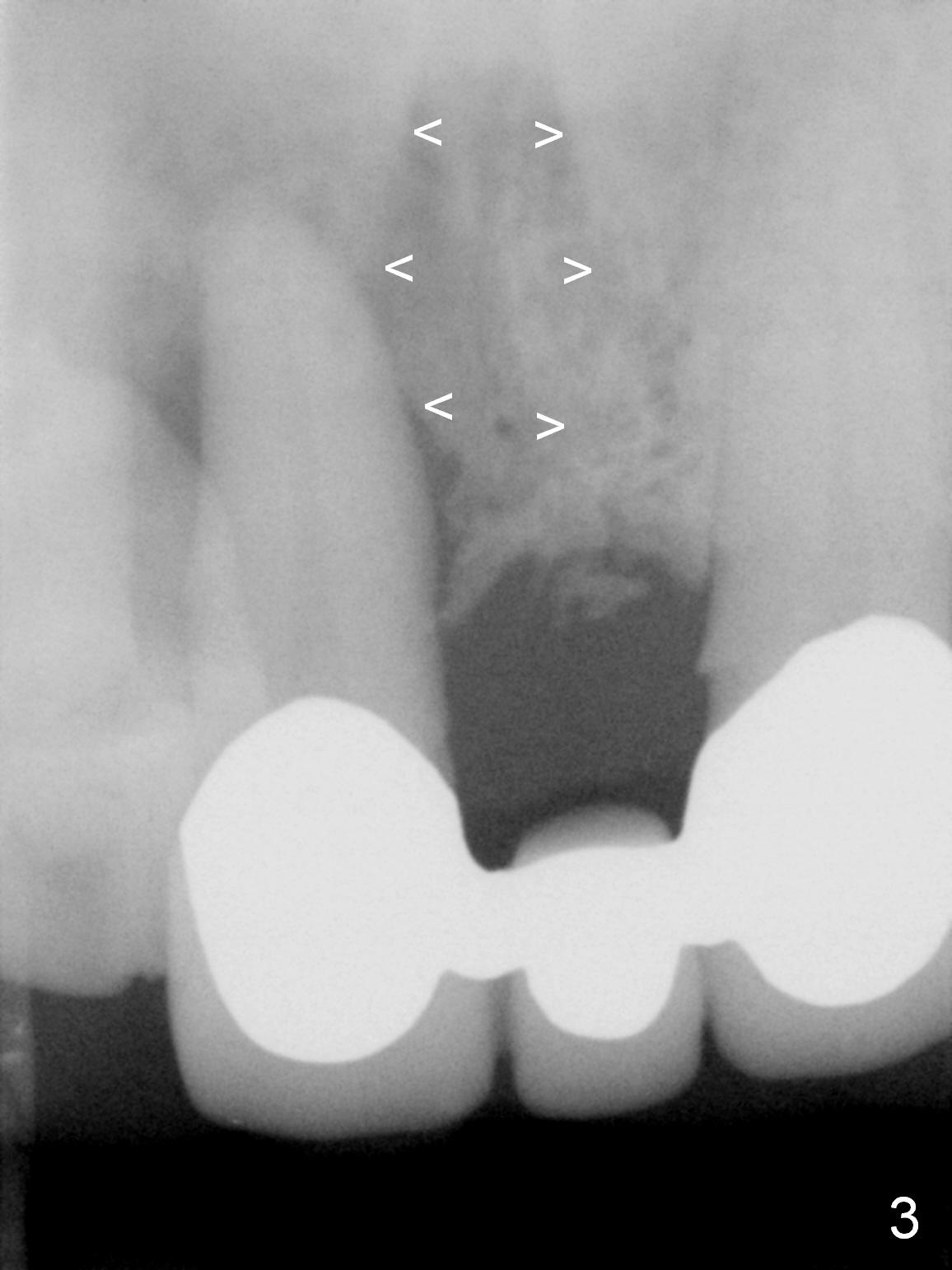
The 74-year-old patient is excited about having 3 implants placed without discomfort (1,2). He wants to take care of a loose FPD spanning from #8 to 9 (Fig.1). It appears that #8 is non-salvageable (Fig.2 * with deep pockets). There is severe bone loss around the affected tooth (Fig.3; Osteotape is expected for buccal and lingual defects). In addition, the Incisive Canal is abnormally large (arrowheads). The coronal end of a 4.5x20 mm implant and a 3.5x5 mm abutment will be slightly deviated mesially (Fig.4), since the 3-unit FPD will be converted to 2 single unit crowns. Surgical guide is ready. The 1st step is to section between #8 and the pontic (Fig.5; green outline: implant; red: abutment). If primary stability is low, the immediate provisional (Fig.8 white area) will be bonded the tooth #7 and the pontic as a supplementary measure (blue areas). Once the implant is osteointegrated, the distal portion of the pontic (Fig.7 *) will be removed. Acrylic is added to the mesial portion of the provisional (Fig.8 *) so that the papilla (P in Fig.7) will be pushed mesially and incisally (Fig.8 arrowheads). The step will be repeated a few weeks later (Fig.9). It could be done bilaterally at the same time by removing #9 crown and converting to the provisional. Finally the pontic will be removed. Two relatively wide crowns will be fabricated if the patient is satisfied with the provisional.
In fact, a control group is added to the study. After extraction, the socket will be packed with gauze saturated with 2% Xylocaine with 1:50,000 Epinephrine. Hemostasis helps remove infected granulation tissue. By time sequence, HY will be the first case in the control group.
Return to
Upper Incisor Immediate Implant
Xin Wei, DDS, PhD, MS 1st edition 08/02/2015, last revision 08/09/2021
Table: Comparison of Topical Use of Clindamycin and Metronidazole in Reduction of Postop Infection
| Clindamycin | Metronidazole | Control | Aborted | Clindamycin | Metronidazole | Control | Aborted | |||||||||||||||||||||||||||||||||||
| N | A | S | # | Result | N | A | S | # | Result | N | A | S | # | Result | ZC | 50 | F | 29 | N | A | S | # | Result | N | A | S | # | Result | N | A | S | # | Result | |||||||||
| 1 | WS | 52 | M | 13 | Cement | YL | 68 | F | 11 | R | HY | 49 | M | 3 | Peri-i | WJ | 52 | F | 3 | Cx | 101 | NJ | 58 | M | 19 | TB | 29 | F | 9 | CC | 44 | M | 15 | |||||||||
| 2 | YJ | 74 | M | 8 | Cement | 15 | WQ | 45 | M | 13 | PK | 75 | F | 31 | 102 | HJ | 44 | F | 22 | SJ | 55 | M | 8 | FK | 79 | M | 18 | CC | 51 | M | 25 | |||||||||||
| 3 | TK | 50 | M | 15 | R | ZF | 43 | F | 19 | Cement | TX | 86 | M | 27 | R | RB | 45 | M | 26 | 103 | XK | 73 | M | 22 | ZL | 46 | F | 12 | YJ | 52 | F | 11 | 31 | |||||||||
| 4 | WQ | 68 | F | 30 | C | YJ | 74 | M | 30 | To C | 28 | TM | 43 | M | 3 | 104 | 25 | KS | 59 | F | 31 | ZC | 54 | F | 2 | |||||||||||||||||
| 5 | ZB | 53 | M | 15 | Peri-i | ZL | 40 | F | 9 | To C | JT | 45 | M | 20 | R | JC | 55 | M | 13 | SP | 105 | 26 | GJ | 58 | M | 24 | LT | 47 | F | 15 | ||||||||||||
| 6 | CC | 67 | F | 13 | R | TF | 70 | M | 10 | 1 piece | ZG | 41 | M | 3 | Retight | Cx | 106 | SF | 64 | M | 19 | 25 | CB | 60 | M | 31 | ||||||||||||||||
| 7 | CY | 62 | M | 15 | R | MM | 63 | M | 31 | 4 | 12/20 | ZC | 39 | M | 31 | Cx | 107 | HJ | 49 | M | 15 | WJ | 75 | M | 13 | XH | 58 | F | 15 | |||||||||||||
| 8 | ZY | 49 | F | 2 | To C | CZ | 62 | M | 22 | CM | 48 | M | 13 | R | 108 | ZY | 77 | M | 11 | SA | 51 | F | 5 | EW | 79 | F | 30 | |||||||||||||||
| 9 | FY | 45 | F | 31 | R | 24 | YR | 84 | F | 10 | 109 | 14 | HD | 72 | M | 19 | LS | 54 | M | 31 | ZH | 29 | F | 31 | ||||||||||||||||||
| 10 | ML | 63 | F | 3 | 26 | RY | 50 | M | 14 | LM | 51 | F | 18 | SP | 110 | LY | 61 | F | 9 | JW | 34 | F | 18 | ST | 61 | M | 12 | |||||||||||||||
| 11 | 4 | 27 | RL | 51 | F | 18 | 111 | SS | 55 | F | 14 | ZS | 54 | M | 2 | SB | 56 | M | 31 | |||||||||||||||||||||||
| 12 | 10 | SG | 73 | M | 28 | JG | 47 | M | 13 | DM | 52 | M | 14 | SP | 112 | ZM | 82 | F | 13 | PM | 79 | F | 22 | HA | 59 | F | 13 | Cx | ||||||||||||||
| 13 | ZC | 51 | F | 15 | ZJ | 52 | F | 3 | CZ | 62 | M | 4 | HJ | 42 | F | 15 | OS | 113 | SB | 65 | F | 3 | SD | 48 | M | 29 | TM | 50 | F | 22 | ||||||||||||
| 14 | YW | 56 | F | 19 | CM | 53 | F | 13 | CK | 70 | M | 5 | 114 | SF | 64 | M | 10 | ZH | 60 | M | 30 | LC | 59 | M | 8 | |||||||||||||||||
| 15 | CK | 70 | M | 11 | CJ | 62 | M | 1 | 6 | 115 | HS | 67 | F | 30 | CJ | 78 | M | 6 | 9 | JB | 62 | F | 20 | |||||||||||||||||||
| 16 | HH | 51 | M | 8 | WR | 49 | M | 7 | MP | 37 | F | 19 | 116 | YR | 87 | F | 7 | 11 | LJ | 54 | F | 15 | ||||||||||||||||||||
| 17 | 9 | ZD | 17 | M | A | CZ | 62 | M | 19 | 117 | XK | 67 | M | 10 | 12 | WH | 54 | M | 11 | |||||||||||||||||||||||
| 18 | GJ | 72 | F | 8 | SQ | 58 | M | 2 | XK | 42 | M | 14 | 118 | YL | 72 | F | 3 | LJ | 79 | F | 14 | MY | 48 | F | 30 | |||||||||||||||||
| 19 | CG | 58 | F | 3 | ZH | 70 | M | 6 | FJ | 54 | M | 19 | 119 | ZQ | 56 | M | 13 | GJ | 56 | M | 31 | DW | 61 | M | 22 | |||||||||||||||||
| 20 | YY | 42 | M | 24 | JQ | 58 | M | 28 | HL | 53 | F | 18 | 120 | GJ | 59 | M | 30 | ZK | 56 | M | 26 | ZC | 46 | F | 5 | |||||||||||||||||
| 21 | ZH | 72 | M | 14 | 31 | ZW | 55 | M | 18 | 121 | SH | 54 | M | 4 | ST | 67 | M | 19 | SS | 56 | M | 19 | ||||||||||||||||||||
| 22 | CZ | 63 | M | 13 | ZX | 52 | M | 7 | CM | 50 | F | 8 | WG | 56 | M | 19 | Pending | 122 | 12 | WJ | 63 | M | 5 | WJ | 63 | F | 12 | |||||||||||||||
| 23 | 14 | 10 | YT | 78 | F | 3 | WG | 56 | M | 15 | Pending | 123 | ZY | 82 | M | 20 | WZ | 88 | M | 21 | XJ | 53 | M | 4 | ZZ | 54 | M | 19 | ||||||||||||||
| 24 | TF | 71 | M | 6 | SH | 45 | M | 19 | 5 | ZY | 34 | M | 18 | Saved | 124 | 22 | WZ | 88 | M | 10 | JS | 58 | M | 9 | ||||||||||||||||||
| 25 | SD | 51 | M | 18 | ZC | 69 | F | 8 | ZQ | 53 | M | 8 | HJ | 48 | F | 18 | Cx | 125 | 18 | LY | 66 | F | 30 | CM | 57 | M | 9 | |||||||||||||||
| 26 | HW | 43 | F | 7 | ZC | 42 | F | 19 | HJ | 43 | F | 15 | CK | 70 | M | 10 | 126 | DL | 65 | M | 14 | WY | 39 | M | 31 | YX | 61 | F | 14 | |||||||||||||
| 27 | SG | 73 | M | 25 | DC | 48 | F | 9 | LY | 60 | F | 8 | WJ | 61 | M | 4 | 31 | 127 | CC | 49 | F | 4 | YP | 67 | F | 13 | WY | 61 | F | 11 | WX | 61 | M | 19 | ||||||||
| 28 | CS | 62 | M | 3 | HV | 48 | M | 29 | ZY | 53 | F | 15 | TF | 56 | F | 7 | Cx | 128 | YS | 49 | M | 3 | LA | 79 | M | 7 | JW | 55 | F | 12 | ||||||||||||
| 29 | XW | 36 | F | 11 | SS | 78 | F | 11 | LP | 52 | F | 4 | 129 | LF | 74 | M | 13 | HL | 75 | F | 25 | 20 | ||||||||||||||||||||
| 30 | CY | 19 | M | 4 | GJ | 54 | M | 15 | YT | 78 | F | 6 | 130 | ZY | 51 | M | 2 | WH | 32 | F | 14 | CY | 36 | F | 3 | |||||||||||||||||
| 31 | SJ | 35 | M | 9 | GJ | 72 | F | 5 | 8 | 130 | XJ | 44 | F | 13 | 19 | 31 | ||||||||||||||||||||||||||
| 32 | WM | 58 | F | 19 | JA | 54 | F | 15 | LX | 55 | F | 20 | 131 | JQ | 60 | M | 12 | NL | 68 | M | 19 | LC | 40 | M | 31 | |||||||||||||||||
| 33 | LP | 47 | F | 31 | WX | 53 | F | 24 | GL | 46 | F | 14 | 132 | RL | 58 | F | 15 | WC | 46 | F | 18 | HJ | 46 | F | 18 | |||||||||||||||||
| 34 | LC | 37 | F | 30 | LM | 60 | M | 15 | XP | 64 | F | 9* | YL | 35 | F | 18 | SP | 133 | JD | 54 | M | 15 | WM | 74 | F | 5 | WL | 57 | F | 19 | ||||||||||||
| 35 | HR | 72 | M | 14 | YL | 54 | F | 2 | WM | 48 | M | 21 | LM | 71 | M | 20 | Cx | 134 | TS | 48 | M | 4 | CY | 38 | F | 29 | JK | 44 | F | 18 | ||||||||||||
| 36 | QY | 59 | M | 23 | SH | 46 | M | 4 | SQ | 41 | F | 18 | 135 | XX | 52 | F | 4 | YZ | 54 | M | 15 | LS | 56 | F | 7 | |||||||||||||||||
| 37 | LK | 54 | F | 14 | DT | 55 | M | 4 | XB | 64 | M | 30 | ZC | 52 | F | 2* | 136 | PK | 80 | F | 15 | YG | 47 | F | 30 | 9 | ||||||||||||||||
| 38 | ZC | 56 | F | 15 | JQ | 58 | M | 29 | ZC | 40 | M | 19 | 3* | 137 | ZH | 48 | M | 14 | YZ | 53 | M | 15 | LF | 74 | M | 24 | ||||||||||||||||
| 39 | LL | 50 | F | 14 | CZ | 50 | M | 19 | SH | 46 | M | 14 | CC | 46 | F | 2 | 138 | LW | 29 | M | C | YL | 35 | M | 18 | HM | 55 | M | 14 | |||||||||||||
| 40 | FJ | 50 | M | 19 | RY | 52 | M | 2 | 18 | 139 | H | LQ | 45 | M | 14 | PM | 63 | F | 7 | |||||||||||||||||||||||
| 41 | MM | 64 | M | 12 | ZY | 49 | F | 31 | CA | 88 | M | 8 | 140 | LL | 73 | F | 14 | WY | 37 | F | 18 | SY | 33 | F | 18 | |||||||||||||||||
| 42 | HR | 73 | M | 4 | LL | 52 | F | 3 | 10 | 141 | YH | 63 | F | 18 | HJ | 46 | F | 20 | 20 | |||||||||||||||||||||||
| 43 | WS | 82 | M | 17 | ZY | 40 | F | 14 | LW | 47 | M | 15 | 142 | ZG | 34 | M | 12 | CZ | 67 | M | 20 | HS | 71 | F | 31 | |||||||||||||||||
| 44 | DW | 59 | M | 7 | CK | 71 | M | 19 | LW | 47 | M | 4 | 143 | 19 | JW | 56 | F | 29 | SG | 77 | M | 5 | ||||||||||||||||||||
| 45 | ZC | 44 | M | 14 | YB | 67 | F | 3 | YZ | 59 | M | 18 | 144 | FJ | 58 | M | 18 | 30 | SF | 66 | M | 12 | ||||||||||||||||||||
| 46 | NY | 43 | F | 6 | ZZ | 59 | M | 13 | LS | 72 | M | 21 | 145 | CY | 67 | F | 6 | LJ | 47 | M | 2 | TM | 47 | M | 30 | |||||||||||||||||
| 47 | WP | 59 | M | 2 | QJ | 45 | M | 9 | GS | 52 | M | 7 | 146 | XH | 42 | M | 21 | 31 | VS | 66 | M | 4 | ||||||||||||||||||||
| 48 | TY | 57 | F | 27 | 10 | DC | 49 | F | 3 | 147 | LX | 58 | F | 31 | DT | 59 | M | 19 | JY | 49 | F | 13 | ||||||||||||||||||||
| 49 | CS | 29 | F | 4 | 11 | 4 | 148 | NT | 66 | M | 2 | SJ | 52 | M | 7 | CT | 76 | M | 11 | YZ | 63 | M | 31 | |||||||||||||||||||
| 50 | LX | 48 | F | 19 | 15 | LJ | 34 | M | 14 | 149 | LK | 65 | M | 30 | WS | 56 | M | 4 | WK | 62 | M | 11 | ||||||||||||||||||||
| 51 | WY | 39 | F | T | SZ | 42 | M | 4 | NF | 45 | M | 30 | QC | 59 | M | 19 | 150 | HL | F | 6 | GL | 59 | F | 30 | SP | 53 | F | 5 | CM | 53 | M | 19 | ||||||||||
| 52 | CH | 34 | M | 5 | ZX | 53 | M | 2 | GY | 47 | F | 18 | 151 | JQ | 56 | M | 2 | LX | 57 | F | 11 | YW | 40 | M | 20 | |||||||||||||||||
| 53 | HD | 71 | M | 29 | QJ | 45 | M | 7 | ZH | 71 | M | 22 | 152 | KX | 44 | m | 10 | YS | 66 | M | 19 | ZD | 34 | F | 7 | JS | 59 | M | 14 | |||||||||||||
| 54 | 30 | GJ | 73 | F | 13 | LT | 60 | F | 7 | 153 | WZ | 27 | M | 13 | TL | 59 | F | 21 | SH | 3 | M | 21 | ||||||||||||||||||||
| 55 | 31 | LJ | 53 | M | 20 | LS | 72 | M | 31 | 154 | SM | 59 | f | 13 | YS | 50 | m | 10 | GY | 40 | F | 4 | ||||||||||||||||||||
| 56 | YL | 36 | F | 4 | ZY | 35 | M | 18 | YP | 59 | M | 24 | 155 | 14 | YP | 62 | M | 29 | DV | 63 | F | 19 | ||||||||||||||||||||
| 57 | SH | 46 | M | 3 | PM | 60 | F | 13 | YL | 70 | F | 26 | 156 | GX | 65 | f | 31 | TH | 54 | M | 3 | 21 | ||||||||||||||||||||
| 58 | HJ | 44 | F | 8 | CH | 42 | F | 13 | ZS | 76 | F | 22 | 157 | LC | 40 | M | 18 | TJ | 63 | F | 3 | TM | 61 | M | 61 | |||||||||||||||||
| 59 | ZC | 44 | M | 28 | CV | 70 | F | 14 | 24 | 158 | LJ | 30 | M | 18 | HJ | 63 | F | 13 | GL | 68 | F | 21 | ||||||||||||||||||||
| 60 | LE | 71 | M | 23 | ZY | 70 | M | 14 | LX | 45 | M | 18 | 159 | CH | 55 | F | 30 | ZF | 48 | F | 5 | YS | 66 | M | 19 | |||||||||||||||||
| 61 | HL | 53 | F | 19 | Periim | PV | 48 | M | 25 | JJ | 50 | M | 29 | 160 | YJ | 54 | F | 12 | HW | 56 | f | 18 | ZF | 44 | F | 14 | ||||||||||||||||
| 62 | LW | 65 | F | 5 | YH | 58 | F | 2 | LC | 43 | M | 30 | KR | 51 | F | 2 | 161 | GW | 68 | F | 12 | ZX | 60 | M | 3 | LC | 64 | M | 30 | |||||||||||||
| 63 | TY | 34 | M | 30 | ZX | 57 | M | 30 | ZJ | 47 | M | 15 | 162 | SZ | 45 | F | 8 | HV | 52 | M | 21 | ZJ | 50 | M | 14 | |||||||||||||||||
| 64 | ZC | 44 | M | 3 | LN | 65 | F | 20 | ZH | 40 | M | 15 | 163 | CJ | 54 | F | 29 | ST | 68 | M | 7 | CH | 59 | F | 2 | |||||||||||||||||
| 65 | CD | 37 | M | 14 | WP | 62 | F | 26 | LS | 73 | M | 23 | 164 | ZF | 48 | F | 15 | CJ | 35 | M | 30 | LX | 71 | F | 7 | CG | 54 | M | 18 | |||||||||||||
| 9 | TJ | 60 | F | 2 | 27 | 25 | 165 | WJ | 60 | F | 6 | YZ | 59 | F | 8 | 9 | ||||||||||||||||||||||||||
| 67 | WM | 32 | F | 18 | YS | 59 | F | 13 | ZH | 72 | M | 31 | 166 | ZM | 85 | F | 22 | HY | 54 | M | 19 | 12 | ||||||||||||||||||||
| 68 | PV | 49 | M | 14 | YJ | 67 | F | 29 | SD | 47 | M | 30 | 167 | 27 | CZ | 69 | M | 30 | SJ | 53 | M | 3 | ||||||||||||||||||||
| 69 | GY | 37 | F | 10 | YL | 36 | F | 8 | FC | 64 | M | 31 | 168 | 28 | BT | 66 | M | 24 | WW | 55 | M | 18 | ||||||||||||||||||||
| 70 | NZ | 59 | M | 24 | 9 | SP | 50 | F | 8 | 169 | 30 | GB | 72 | M | 14 | YJ | 80 | M | 20 | |||||||||||||||||||||||
| 71 | 2 | QJ | 45 | M | 2 | KA | 64 | F | 15 | 170 | LJ | 30 | M | 31 | WK | 34 | M | 31 | HW | 47 | F | 31 | ||||||||||||||||||||
| 72 | LC | 65 | F | 4 | 3 | LQ | 45 | M | 24 | 171 | DL | 68 | M | 2 | NT | 67 | M | 2 | SZ | 53 | M | 3 | ||||||||||||||||||||
| 73 | XB | 35 | F | 9 | 5 | 26 | 172 | CY | 46 | M | 12 | SF | 67 | M | 4 | KM | 50 | F | 8 | |||||||||||||||||||||||
| 74 | WG | 57 | M | 15 | CQ | 36 | M | 23 | HD | 41 | F | 4 | 173 | HJ | 52 | M | 6 | CH | 62 | F | 2 | ZY | 84 | M | 5 | |||||||||||||||||
| 75 | XJ | 75 | M | 12 | 26 | HP | 37 | M | 8 | 174 | LM | 57 | F | 19* | 31 | PJ | 57 | F | 15 | |||||||||||||||||||||||
| 76 | LJ | 62 | M | 4 | YC | 41 | M | 14 | LC | 65 | F | 14 | 175 | TF | 76 | M | 9* | XZ | 62 | M | 15 | LJ | 35 | M | 18 | 1;100,000 | ||||||||||||||||
| 77 | WH | 50 | M | 11 | CQ | 36 | M | 3 | LL | 43 | F | 30 | 176 | LH | 67 | F | 3 | CQ | 70 | F | 3 | WJ | 46 | F | 5 | |||||||||||||||||
| 78 | HX | 67 | M | 3 | 5 | WH | 45 | F | 3 | CQ | 36 | M | 19 | 177 | ZH | 29 | F | 4 | 5 | JA | 58 | M | 14 | |||||||||||||||||||
| 79 | LL | 53 | F | 3 | YF | 53 | M | 14 | CB | 40 | M | 4 | 20 | 178 | HX | 57 | F | 12 | SG | 78 | M | 5 | YR | 90 | F | 6 | ||||||||||||||||
| 80 | CV | 71 | F | 30 | LL | 43 | F | 2 | WJ | 55 | F | 30 | 7 | 179 | GX | 36 | F | 31 | ZL | 46 | F | 2 | JB | 59 | M | 19 | ||||||||||||||||
| 81 | ZC | 44 | M | 15 | YF | 53 | M | 31 | KA | 64 | F | 20 | CY | 40 | F | 18 | 180 | LF | 57 | F | 11 | 4 | GJ | 51 | F | 19 | ||||||||||||||||
| 82 | CS | 64 | M | 14 | CA | 89 | M | 10 | HY | 59 | M | 15 | 181 | ZC | 56 | M | 19 | CM | 53 | M | 30 | |||||||||||||||||||||
| 83 | LW | 66 | F | 12 | TZ | 61 | M | 4 | ZL | 58 | M | 2 | ||||||||||||||||||||||||||||||
| 84 | 13 | CY | 64 | M | 2 | CK | 63 | M | 18 | |||||||||||||||||||||||||||||||||
| 85 | WW | 50 | M | 30 | 4 | ZG | 43 | M | 18 | |||||||||||||||||||||||||||||||||
| 86 | ZW | 51 | M | T | WZ | 87 | M | 19 | CF | 55 | F | 8 | ||||||||||||||||||||||||||||||
| 87 | WQ | 70 | F | 14 | LH | 64 | M | 14 | SF | 64 | M | 19 | ||||||||||||||||||||||||||||||
| 88 | MW | 54 | M | 30 | TX | 88 | M | 14 | WZ | 88 | M | 31 | WP | 72 | M | 18 | SP | |||||||||||||||||||||||||
| 89 | 31 | HJ | 44 | F | 25 | VC | 59 | F | 2 | |||||||||||||||||||||||||||||||||
| 90 | JQ | 59 | M | 3 | JY | 47 | F | 19 | ZX | 54 | M | 19 | ||||||||||||||||||||||||||||||
| 91 | HW | 53 | F | 31 | 15 | WC | 67 | M | 2 | |||||||||||||||||||||||||||||||||
| 92 | YB | 41 | F | 9 | YP | 66 | F | 30 | DW | 60 | M | 10 | TT | 71 | F | 22 | ||||||||||||||||||||||||||
| 93 | 10 | CN | 59 | F | 19 | WW | 50 | M | 19 | 23 | ||||||||||||||||||||||||||||||||
| 94 | WP | 62 | F | 20 | CH | 61 | M | 30 | YL | 57 | M | 9 | ZB | 63 | M | 19 | SP | |||||||||||||||||||||||||
| 95 | 21 | YY | 58 | M | 30 | WP | 40 | M | 28 | |||||||||||||||||||||||||||||||||
| 96 | ZQ | 38 | F | 6 | CZ | 45 | M | 30 | LH | 60 | M | 14 | ||||||||||||||||||||||||||||||
| 97 | QJ | 46 | M | 22 | SH | 47 | M | 29 | LM | 54 | M | 9 | ||||||||||||||||||||||||||||||
| 98 | 27 | YY | 54 | M | 21 | SH | 47 | M | 9 | |||||||||||||||||||||||||||||||||
| 99 | LY | 48 | F | 9 | WY | 35 | F | 6 | QJ | 46 | M | 31 | ||||||||||||||||||||||||||||||
| 100 | ZZ | 56 | M | 9 | DA | 44 | F | 12 | CC | 48 | F | 3 | ||||||||||||||||||||||||||||||
Abbreviations: N: name (initial); A: age; S: sex (M: male; F: female); Cx: cancel;